ブログ
名古屋で歯がボロボロの方へ|見た目回復の考え方
名古屋で歯がボロボロの方の見た目の回復は、失った歯を補うだけでは足りません

名古屋で歯がボロボロになり、人前で笑えないと感じている方にとって、見た目の回復は単に歯を補うことではありません。
本当に重要なのは、残っている歯の位置が今どうなっているか、そして患者さんがどこまで口元を整えたいのかを最初に整理することです。
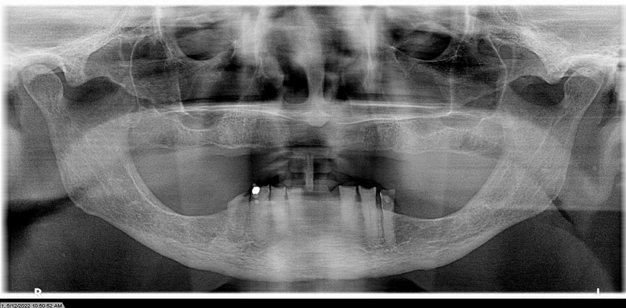
歯が少なくなってくると、残った歯はその位置に安定したままとは限りません。
かみ合う相手がいない歯は伸びてきます。
隣の歯がなくなると、横に傾いたり動いたりします。
その結果、歯の本数が減るだけでなく、残っている歯の位置そのものが崩れていくことがあります。
そのため、名古屋 オールオン4や全顎的な治療を考えるときは、
「足りない歯を入れれば終わり」ではなく、
今ある歯の位置のままで患者さんが望む見た目に近づけるのかを見極める必要があります。
患者さんによって求めるゴールは違います。
- とりあえず噛めればよいのか
- 人前で自然に笑えるようになりたいのか
- 前歯の見え方まで整えたいのか
- 口元のしぼみまで回復したいのか
この整理がないまま治療を進めると、歯は入っても「思っていた見た目と違う」と感じやすくなります。
歯が少なくなると、残った歯の位置が崩れやすくなります
歯がほとんどない、多数歯欠損という状態では、問題は失った部分だけに起こるわけではありません。
残っている歯にも変化が起こります。
歯の位置が変わる主な理由
- かみ合う相手がいないと、歯が伸びてくる
- 隣の歯がないと、歯が倒れたり移動したりする
- 奥歯がなくなると、前歯への負担が増える
- 歯周病があると、歯が動きやすくなる
たとえば、上あごには歯が残っていて、下あごの歯がほとんどない場合、上の歯は下方向へ伸びてくることがあります。
このとき、単純に下の歯を補うだけで患者さんが満足できるとは限りません。
上の歯の位置がすでに変わっていれば、下を整えても、見た目やかみ合わせが患者さんの望む状態にならないことがあるからです。
しかも歯の位置異常は、上下方向だけではありません。
横方向にも起こります。
特に骨の支えが減ってくると、上の前歯が前方に出てきたり、外側に張り出したりすることがあります。
こうなると、前歯の見え方が強くなりすぎたり、口元が閉じにくくなったりして、見た目の違和感につながります。
この段階では、治療の考え方も単純ではありません。
- 今の歯の位置を活かせるのか
- 位置を整えてから進める必要があるのか
- 矯正を使うのか
- 矯正を希望されないなら抜歯を含めて設計し直すのか
つまり、歯が何本残っているかだけでなく、
残っている歯がどこにあり、どの方向へずれているかが、見た目の回復では大きな意味を持ちます。
関連して、今ある歯をどこまで残せるのかが気になる方は、先にこちらを読むと判断の整理がしやすくなります。
→ 名古屋で歯がボロボロの方へ|残せる歯と抜くべき歯の考え方
また、歯周病が背景にあると歯の移動が起こりやすいため、この問題と強くつながります。
→ 名古屋で歯周病で歯がボロボロになった方の治療法
今の歯の位置のままで、希望する見た目に届くとは限りません
見た目の回復を考えるときに誤解されやすいのは、残っている歯があるなら、それを使えば自然に仕上がるとは限らないことです。
注意したいポイント
- 伸びてきた歯は、そのままだと歯の長さが不自然になることがある
- 前に出てきた前歯は、下の歯を整えるだけでは改善しないことがある
- 見た目の希望が高いほど、上あご側の治療も必要になることがある
- 部分的な対応では、全体の印象が整わないことがある
- 患者さんの希望と、今ある歯の位置が合っていないことがある
たとえば、患者さんが「とりあえず下だけ何とかしたい」と希望されても、実際には上の前歯が伸びていたり、前に出ていたりして、上を触らないと見た目の違和感が残ることがあります。
逆に、患者さんが「自然に笑えるところまで整えたい」と望まれるなら、今ある歯をそのまま使うことが、むしろゴールの妨げになることもあります。
このような場合には、次のような選択肢が出てきます。
- 位置異常が小さければ、その範囲で補綴する
- 歯の位置を整えるために矯正を併用する
- 矯正を希望されない場合は、抜歯を含めて再設計する
つまり、残せるかどうかだけでなく、
残したときに患者さんの求める見た目に届くのかが重要です。
何本も抜歯と言われたときに不安になる方は、その判断が本当に必要なのか、どこを確認すべきかを先に知っておくと整理しやすくなります。
→ 歯がボロボロで何本も抜歯と言われたときに確認したいこと
見た目の回復では、「残っている歯をどう扱うか」が診断の中心になります
診断の場で実際によくあるのは、患者さんが気にしているのは抜けた場所でも、
本当の問題は残っている歯の位置異常にあるケースです。
たとえば、前歯が出て見えることを気にされていても、原因は前歯そのものではなく、奥歯を失ったことでかみ合わせが崩れ、前歯が動いてきた結果であることがあります。
あるいは、下の歯がないことより、上の歯が伸びてきたことで、全体の見た目が不自然になっていることもあります。
こうした症例では、補綴の立場では今ある歯を使えるかどうかだけでは判断しません。
その歯の位置が、患者さんの望む完成形に合っているかを見ます。
補綴とは、被せ物や人工の歯で、見た目と機能を回復する分野です。
米国の補綴教育では、こうした全体再建に近い症例ほど、
どの歯を残すかより先に、どんなゴールを共有するかを重視します。
診断では、次のようなことを確認します。
- 今の前歯の位置で笑ったときに自然か
- 伸びてきた歯をそのまま活かせるか
- 上下の関係を整えないと見た目が崩れないか
- 矯正で整える価値があるか
- 抜歯して再設計したほうが結果が安定するか
日常診療でも、患者さんが最初は「噛めればよい」とおっしゃっていても、診断が進むと「せっかく治すなら前歯の見え方も整えたい」と考えが変わることがあります。
逆に、見た目の希望がそこまで強くなく、負担を抑えた計画を望まれる方もいます。
だからこそ、どの治療法が正しいかを先に決めるのではなく、
患者さんがどこまで回復したいのかをきちんと共有することが、治療設計の出発点になります。
最初にどんな検査が必要かを知っておくと、この診断重視の意味が分かりやすくなります。
→ 歯がボロボロの方が最初に受けるべき検査とは
また、部分的に治すか、全体で治すかの考え方はこのテーマと強くつながります。
→ 歯がボロボロのとき、1本ずつ治すべきか全部まとめて治すべきか
どこまで回復を望むかで、必要な治療は変わります
名古屋で歯がボロボロの方の見た目の回復は、なくなった歯を補うだけでは決まりません。
大切なのは、残っている歯の位置がすでに崩れていないか、そしてその位置のままで患者さんの希望する見た目に届くのかを整理することです。
判断の軸をまとめると、次のようになります。
- 残っている歯が伸びたり傾いたりしていないか
- 上下どちらかだけ治せば済む状態なのか
- 見た目の回復をどこまで求めるのか
- 矯正が必要な段階なのか
- 矯正を望まれない場合に、抜歯を含めた再設計が必要か
よくあるご質問(Q&A)
Q1. 歯が少なくなっても、残っている歯はそのまま使えますか。
A. 使えることもありますが、位置が動いていると、そのままでは見た目やかみ合わせが整わないことがあります。
Q2. 下の歯がないなら、下だけ治せば十分ですか。
A. 必ずしもそうではありません。上の歯が伸びたり前に出たりしていると、上も含めた検討が必要になることがあります。
Q3. 前歯が前に出てきた場合はどうしますか。
A. 程度によりますが、矯正で整える方法や、希望によっては抜歯を含めて再設計する方法が考えられます。
Q4. どの治療法を選べばよいかは、何で決まりますか。
A. 歯の本数だけでは決まりません。残っている歯の位置、骨の状態、そして患者さんがどこまで見た目を回復したいかで変わります。
見た目の悩みを全体として整理したい方は、このテーマのハブ記事から読むと、今の迷いがどこにあるのかが見えやすくなります。
→ 歯がボロボロで人前で笑えない方へ|見た目の回復まで考えた治療とは
名古屋でオールオン4を含む全体像を、治療法、診断、骨の条件まで広く整理したい方は、こちらの総合ページも参考になります。
→ 名古屋でオールオン治療を検討されている方へ
監修者情報

EDEN DENTAL OFFICE (エデン デンタル オフィス)
院長 村井亮介
名古屋中区の伏見駅から徒歩2分の「エデンデンタルオフィス」では、米国補綴専門医の資格を持つ院長が、10年、20年先を見据えた精密な治療を提供します。歯科医院特有の緊張感を和らげるため、家族のように寄り添う丁寧な対話を重視。患者様の背景や「どうなりたいか」という想いを深く汲み取り、できる限りの最高の治療クオリティーを常に心掛けております。
経歴
- 愛知学院大学歯学部歯学科卒業
- 大手歯科医療法人勤務
- インディアナ大学歯学部補綴科卒業
資格
- 米国補綴専門医
所属学会
- 日本補綴歯科学会
- ACP american academy of prosthodontics member
- ITI international team
for implntology 会員 - AO academy of
osseointegration 会員
CONSULTATION 無料相談・セカンドオピニオン
インプラントをはじめ、審美補綴や義歯などの外科的治療に関するご相談を承っております。その他の治療内容についてもお気軽にお問い合わせ下さい。



