症例
- TOP
- 症例
-
インプラント
2026.05.31
-
入れ歯、オールオン4
2026.05.17
-
インプラント
2026.04.12
-
インプラント
2026.03.30
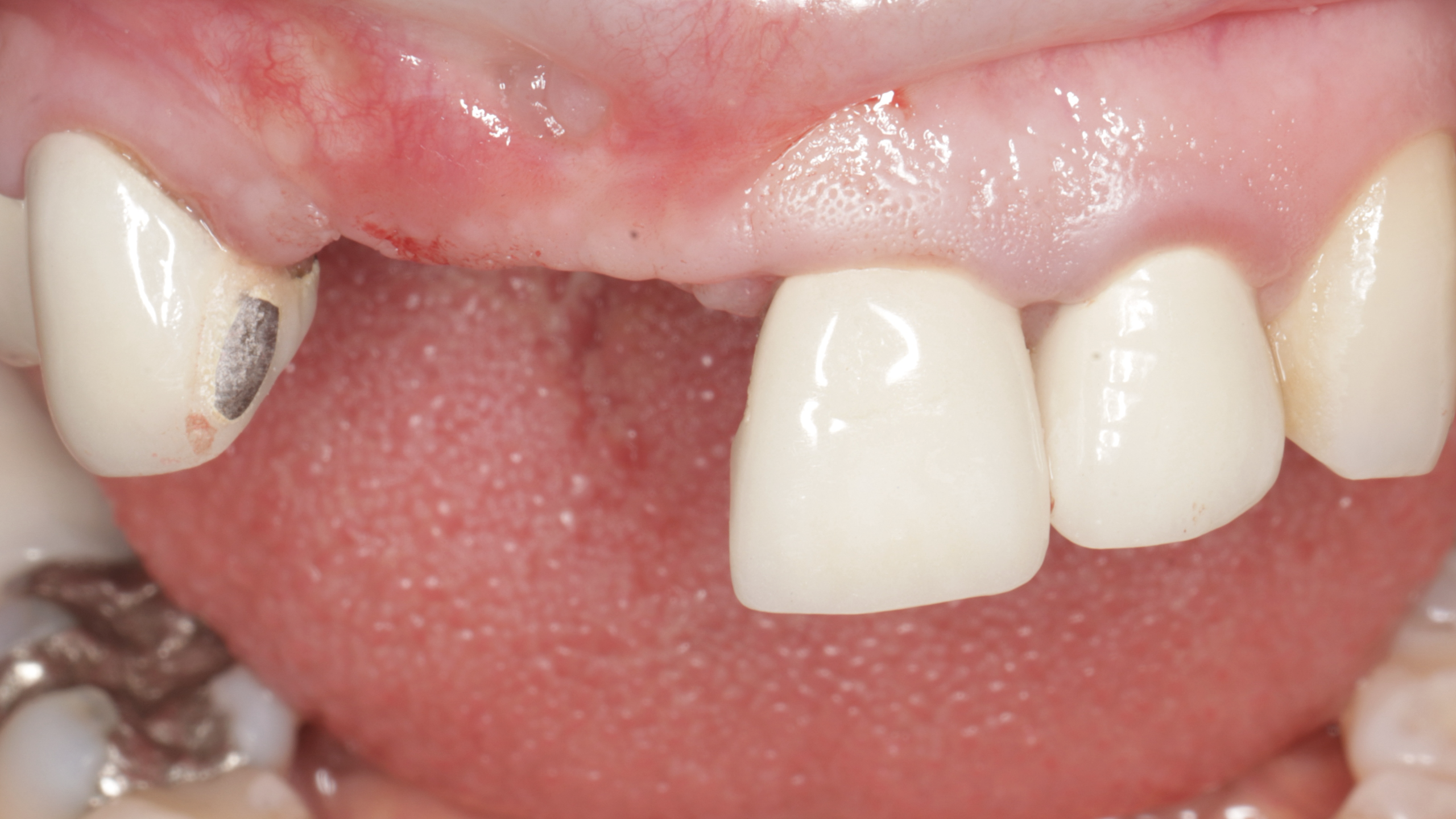
名古屋 上顎に残った3本を抜歯し、4本のインプラントによるオーバーデンチャーで「見た目」と「使いやすさ」を両立した症例|67歳男性
-
インプラント
2026.03.27
-
インプラント
2026.03.21
-
インプラント
2026.03.18
-
インプラント
2026.03.14
-
インプラント
2026.03.13
-
インプラント
2026.03.13



