- 米国補綴専門医
- 精密治療
- 完全予約制

〒 460-0008
愛知県名古屋市中区栄1-4-8 カジウラビル4F
東山線、鶴舞線 伏見駅7番出口から徒歩2分
【提携駐車場】
P.ZONE 栄1丁目駐車場(ヒルトン名古屋の真正面の平面駐車場)
【休診日】水曜・木曜・日曜・祝日
NEWS/BLOG お知らせ/ブログ
- ブログ 2026.05.30
- 奥歯のセラミックの強度ってどう決まる?「数字」と「もちの良さ」の関係をやさしく整理
- ブログ 2026.05.30
- 奥歯の銀歯をセラミックに変える価値はあるのか|名古屋の補綴専門医が判断軸を整理
- ブログ 2026.05.29
- 前歯のセラミック完全ガイド|名古屋で「自然な仕上がり」を判断する
- お知らせ 2025.12.15
- ホームページを公開しました
- ブログ 2026.05.30
- 奥歯のセラミックの強度ってどう決まる?「数字」と「もちの良さ」の関係をやさしく整理
- ブログ 2026.05.30
- 奥歯の銀歯をセラミックに変える価値はあるのか|名古屋の補綴専門医が判断軸を整理
- ブログ 2026.05.29
- 前歯のセラミック完全ガイド|名古屋で「自然な仕上がり」を判断する

GREETING 院長紹介
患者様がお口のことで悩まない、
快適な生活を提供します。

EDEN DENTAL OFFICE (エデン デンタル オフィス)
院長 村井亮介
伏見駅の歯医者、エデンデンタルオフィスでは患者様が将来にわたりお口のことでお悩みにならないよう、10年先、20年先を見据えた治療を大切にしております。米国補綴専門医として、世界基準の技術と臨床経験を基盤に、選んで頂いて後悔のない、再治療のリスクを抑えた治療を日々行っております。
伏見駅近くという利便性の高い立地にて、生涯にわたり安心して通院頂ける歯科医院を目指しております。
経歴
- 愛知学院大学歯学部歯学科卒業
- 大手歯科医療法人勤務
- インディアナ大学歯学部補綴科卒業
資格
- 米国補綴専門医
所属学会
- 日本補綴歯科学会
- ACP american academy of prosthodontics member
- ITI international team
for implntology 会員 - AO academy of
osseointegration 会員
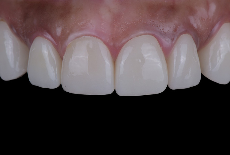
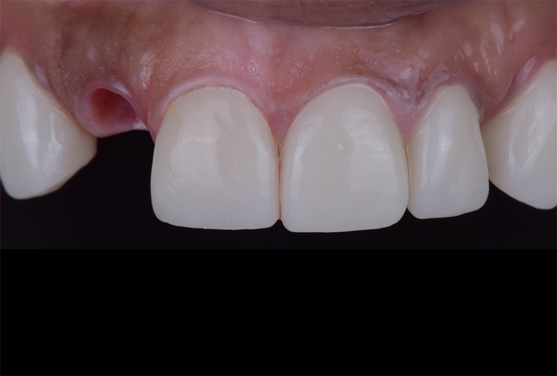
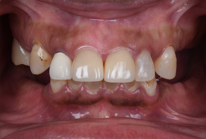
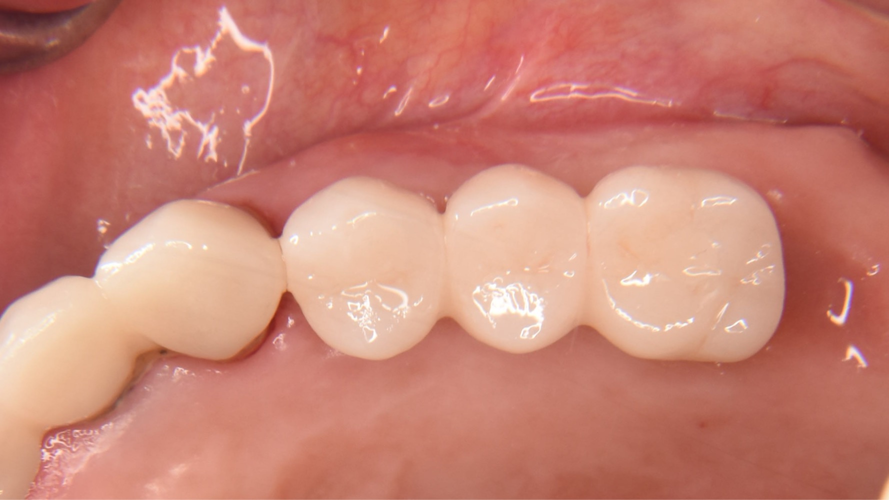
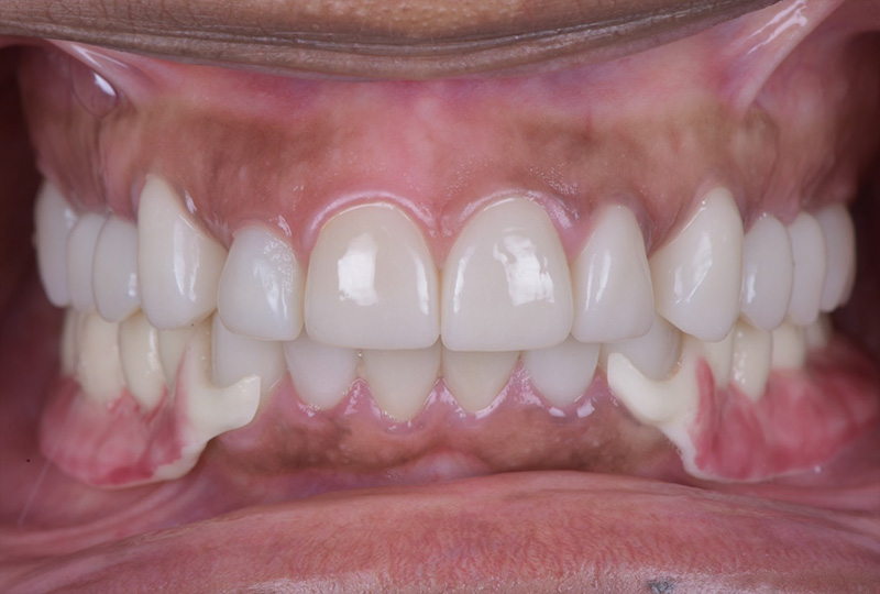
CASE 村井院長の症例

MENU 診療メニュー
将来まで続く、
精密で長持ちする治療を
当院では、患者様お一人ひとりを自分の家族のように想い、誠実かつ丁寧に治療を行っております。いかに知識や技術が優れていても、時間をかけて丁寧に向き合う姿勢がなければ、良好な結果は得られません。
また、診療時には患者様にご不安を与えないコミュニケーションと環境づくりを徹底しております。伏見の皆様に「ここで治療を受けて良かった」と感じて頂ける歯科医療を追求してまいります。

審美補綴治療
【このようなお悩みは
ございませんか?】
- 歯がボロボロではずかしい。
- 以前入れた「銀歯」を白くしたい
- 治療を何度も繰り返している
長期的に安定して機能することが審美補綴の本質であると考えております。見た目が整っていても、破損や再治療を要する治療では意味がありません。
また、美しさには基準があり、このバランスを示す比率はゴールデンプロポーションと呼ばれています。当院では、この基準をもとに、歯の形態、色調、位置関係のみならず、顔全体との調和までを考慮した設計を行っております。

インプラント治療
【このようなお悩みは
ございませんか?】
- 歯を抜いたまま、そのままにしている
- 他院でインプラントはできないと言われた
- 自分の歯のように噛みたい
インプラント治療においては、外科的技術も重要ですが、計画段階こそが成功を左右すると考えております。埋入位置や角度のわずかな差が、将来の安定性や持続性に大きく影響します。
当院では、基礎を大切にしながら、米国補綴専門医として最先端の経験を生かし、長期的な安定を重視した設計を行っております。近年、多くの歯科医院で受けられる治療だからこそ、ぜひお任せください。

オールオン4
【このようなお悩みは
ございませんか?】
- インプラントを複数埋入する場合
高額になるため迷っている - 他院で作った入れ歯が合わなくなった
- 入れ歯で会話、食事に不便を感じている
オールオン4治療は、複数インプラントを埋入するような症状の方や現在の入れ歯に不満を持っている方に対して有効な選択肢と言えます。当院では院長が全工程を監修し、設計から完成まで責任をもって対応しております。わずかな違和感や噛み合わせのズレも見逃さずに調整を行います。
患者様のご要望を丁寧に反映し、長期にわたり快適にご使用頂けるよう、総合的な視点から設計を行っております。
FLOW 初診の流れ
当院は完全予約制となっております。
初診時には問診とカウンセリングを行い、患者様のご希望やお悩みを詳細にお伺いし、治療内容、期間、費用についてご納得頂いた上で治療を開始致します。

CONCEPT/FEATURE コンセプト/当院の特長
一人ひとりの背景に寄り添い、
常に誠実な歯科治療を
患者様にご来院頂く経緯や背景には、それぞれ異なる事情がございます。当院では、このご事情を一番に考え、患者様の人生設計まで見据えた治療をご提案致します。
また、当院では、全ての治療方針において「なぜこの治療が最善であるのか」を明確なエビデンスに基づいて論理的にご説明できることを重視しております。
このような思いと、知識、技術、その一つひとつの積み重ねが、患者様の安心、信頼、そして治療後の満足に直結すると考えております。
FEATURE01
世界で認められた補綴専門資格
米国補綴専門医
米国補綴専門医(Prosthodontist)は、アメリカ歯科医師会(ADA)が正式に認定する補綴分野の最高位資格です。取得には、大学院レベルで3年以上の専門教育を修了し、臨床、研究、試験のすべてにおいて厳しい基準をクリアする必要があります。
審美性と機能性の両立、科学根拠に基づく診断と治療、最新の知見と技術で、質の高い歯科医療をご提供致します。

米国補綴専門医は、厳しい審査と長年の研鑽を経て認定される資格で、日本ではわずか30名ほどしか取得しておりません。当院では、この資格を持つ院長が直接対応し、生涯に寄り添う歯科医療を通じて、美しく機能的な口元づくりをお手伝い致します。
FEATURE02 精度を高める先端医療機器
当院では、CT撮影装置や口腔内スキャナーなどの医療機器を導入し、正確かつ負担の少ない治療を行っております。治療から補綴物の製作に至るまで、全ての工程を院内で完結させることで、品質の統一とスピードの両立を図っております。
-

インプラントを
設計するソフト -

3Dプリンティング
マシーン2台
FEATURE03 遠方からも通いやすいアクセス

より多くの患者様に最先端の補綴治療をご提供するため、当院は名古屋市の中心地、伏見駅近くという利便性の高い場所に開院致しました。
治療を通じて関わらせて頂いた患者様の人生を、より豊かで健やかなものにしたいと考えております。生涯にわたってお口の健康を守るパートナーとして、末永くお付き合いさせて頂きます。
CONSULTATION 無料相談・セカンドオピニオン
インプラントをはじめ、審美補綴や義歯などの外科的治療に関するご相談を承っております。
その他の治療内容についてもお気軽にお問い合わせ下さい。
Q&A よくあるご質問
- Q無料相談では何をして頂けますか?
- A主訴やお悩みをお伺いし、必要に応じて検査内容や治療方針をご説明致します。
初回のご相談は無料で行っております。 有料検査が必要な場合には、その都度ご案内申し上げます。
- Qキャンセル料はかかりますか?
- Aキャンセル料は頂いておりません。 ただし、無断キャンセルや遅刻が続く場合には、他の患者様へのご配慮のため診療をお断りさせて頂く場合がございます。
- Qボロボロな歯でも治療して頂けますか?
- Aもちろん可能でございます。プライバシーを守りながら、カウンセリングを行っております。可能な治療、不可能な治療についても明確にお伝えし、最善の方法をご提案致しますのでご安心下さい。
- Qキャッシュレス対応はしていますか?
- A 現金のほか、各種クレジットカードでのお支払いにも対応しております。

















