ブログ
名古屋で歯がボロボロ|残せる歯と抜く歯の考え方
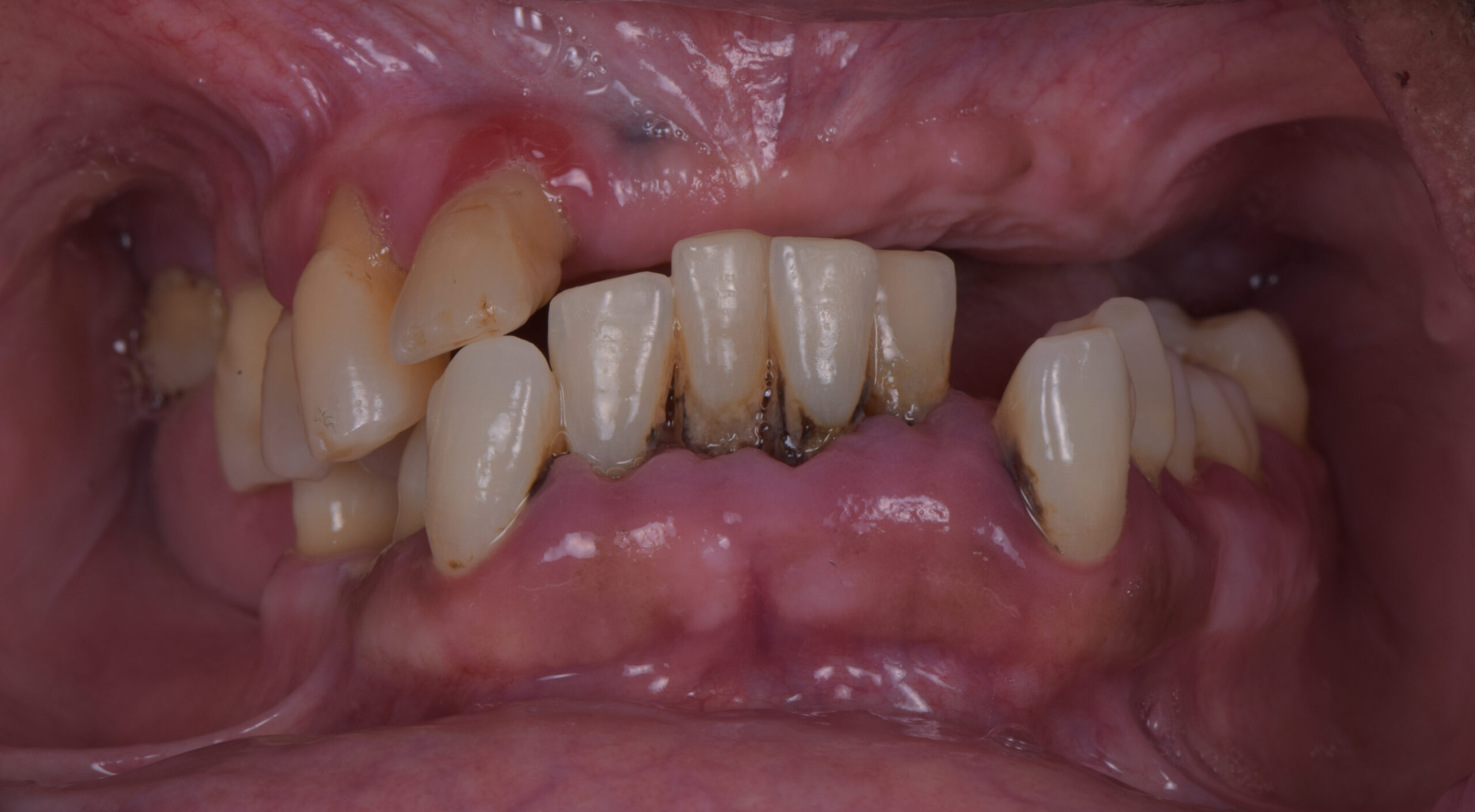
名古屋で歯がボロボロでも、全部抜くとは限りません

名古屋で歯がボロボロになったとき、最初に整理したいのは、「残せる歯があるか」ではなく、「残した結果、口全体が長く機能するか」です。
ここを見誤ると、何本かは残せても、その歯が負担の中心になり、残りの歯の寿命まで短くしてしまうことがあります。
残せる歯と抜くべき歯の判断は、次の3つを一緒に見て行います。
- その歯単体に、治す余地があるか
- 残すことで、残りの歯の寿命を縮めないか。口全体で見たときに、噛める時期を短くしないか
- 5年後、10年後まで維持しやすいか
つまり、1本だけ見て決めないことが大切です。
特に、歯がボロボロ、名古屋で歯を全部治したい、多数歯欠損という状況の方は、虫歯、歯周病、欠損、かみ合わせの崩れが同時に進んでいることが少なくありません。
この段階では、残せる歯が数本あっても、口全体の寿命を考えると、抜歯を含めた再建の方が合理的な場合があります。
一方で、見た目が悪くても、すぐに名古屋 オールオン4や総抜歯が必要とは限りません。
まずは、保存できる歯と、保存すると全体の寿命を縮める歯を分けて考えることが出発点です。
歯がボロボロでも治療の全体像から整理したい方は、
→ 名古屋で歯がボロボロでも治療できる?まず整理したい4つの選択肢
「残せる歯」と「残すべき歯」は同じではありません
患者さんが混乱しやすいのは、「残せる歯」と「残すべき歯」が同じ意味ではないことです。
たとえば、根の治療や被せ物で延命できる歯でも、その歯を残すことで、他の歯に負担が集中することがあります。
残せる歯を考えるときは、主に次の視点で見ます。
- 虫歯が歯ぐきの深い位置まで進んでいないか
- 歯周病で骨の支えが大きく失われていないか
- 歯が割れていないか
- 強い揺れが続いていないか
- 治したあとに清掃しやすいか
一方で、残すべき歯を考えるときは、もっと広い視点が必要です。
- その歯を残すことで、他の歯に無理な力がかからないか
- その歯があることで、治療設計が複雑になりすぎないか
- 数年後にその歯がだめになったとき、全体が崩れないか
- 噛める期間を人生全体で見たときに、有利か
- 修理や再治療に対応しやすいか
ここが、一般的な「悪い歯を1本ずつ治す」発想と、補綴主導の考え方の違いです。
補綴主導とは、先に最終的な歯並び、かみ合わせ、見た目、清掃性を設計し、その設計に合うように保存と抜歯を決める考え方です。
実際の診療でも、名古屋で歯がボロボロの方は、1本ごとの治療歴が長く、被せ物のやり替えや抜歯を繰り返していることがあります。
そうした再治療症例では、歯そのものより、残した歯が全体の足を引っ張っていないかが重要な論点になります。
「1本ずつ治すか、全部まとめて考えるか」で迷っている方は、
→ 歯がボロボロのとき、1本ずつ治すべきか全部まとめて治すべきか
歯周病が中心で崩れてきた方は、
→ 名古屋で歯周病で歯がボロボロになった方の治療法
残せる歯があっても、残さない方がよい場合があります
ここで大切なのは、保存できることと長期的に残す意味があることを分けて考えることです。
たとえば次のような場合は、歯を残しても全体として不安定になりやすくなります。
- 重度の歯周病で複数歯が大きく揺れている
- 虫歯が根の深い位置まで広がっている
- 残っている歯の本数はあるが、位置のバランスが悪い
- 何度も被せ物や根の治療を繰り返している
- かみ合わせが低くなり、奥歯に負担が集まっている
- 清掃が難しく、再発リスクが高い
こうしたケースでは、残せる歯を無理に残すほど、治療期間が長くなり、費用も分散し、結果として噛める時期を短くしてしまうことがあります。
特に、歯がほとんどない、総入れ歯で困っている、固定式の歯を検討している方は、部分的な保存が本当に有利かを慎重に見極める必要があります。
逆に、すぐ抜歯に進まない方がよいケースもあります。
- 前歯の見た目を保ちながら段階的に治療したい
- 骨や歯ぐきの形をできるだけ残したい
- 全身状態や生活事情から、一気の治療が負担になる
- 今ある歯を土台に、仮歯で慎重に設計を確認したい
そのため、オールオンフォーが合うかどうかは、歯の悪さだけでは決まりません。
診断抜きで「全部抜けば早い」と考えるのは、やや単純すぎます。
抜歯を何本も勧められて不安な方は、
→ 歯がボロボロで何本も抜歯と言われたときに確認したいこと
最初に何を調べるべきかを知りたい方は、
→ 歯がボロボロの方が最初に受けるべき検査とは
補綴の設計から逆算すると、判断は変わります
米国の補綴の教育で強く感じるのは、「残せるか」より先に「その歯を残した結果、口全体が長くもつか」を考える文化です。
日本では歯を残す価値が重視されますが、米国補綴では、長期安定のために人生単位で噛める期間をどう守るかという視点が強くあります。
日常診療でも、歯がボロボロの方ほど、「悪い歯を治す」ことに意識が向きやすい印象があります。
ただ、長期経過をみると、差が出るのは次の点です。
- その歯を残すことで、他の歯が守られるか
- 逆に、残すことで奥歯や前歯に負担が集中しないか
- 数年後に再治療になったとき、全体をやり直さずに済むか
- 清掃しやすく、炎症を繰り返しにくい形にできるか
- 将来の修理まで見込んだ設計になっているか
かみ合わせとは、上下の歯がどう接触し、どこに力がかかるかという設計のことです。
ここが崩れたまま一部の歯を残すと、その歯を守るつもりが、結果として他の歯まで失いやすくなります。
たとえば、当日に歯が入る、という治療に関心がある方でも、本当に重要なのは早さそのものではありません。
早く歯が入ることと、長く噛めることは別です。
仮歯を使って見た目とかみ合わせを確認し、その設計に合う歯だけを残すという考え方の方が、質重視の治療には合っています。
入れ歯以外の選択肢を整理したい方は、
→ 歯がボロボロでも入れ歯以外の選択肢はある?
短期間でどこまで進められるかを知りたい方は、
→ 歯がボロボロの治療はどこまで一気に進められる?
名古屋で歯がボロボロの方が整理したい判断軸
名古屋で歯がボロボロになったときの判断は、単純に「残せるか、抜くか」ではありません。
整理すべきなのは、次の3点です。
- その歯は治療に耐えられるか
- その歯を残すことで、残りの歯の寿命を縮めないか
- 将来まで見たときに、口全体で長く噛める設計になるか
この3つを満たす歯は、残す価値があります。
反対に、残せても全体の寿命を縮める歯は、抜歯を含めて考えた方がよい場合があります。
名古屋で歯がボロボロ、名古屋で歯を全部治したい、入れ歯 、インプラントで迷っている方ほど、1本ごとの判断ではなく、人生全体でどれだけ長く噛めるかという視点から整理する方が納得しやすくなります。
栄や伏見、愛知県中区のように歯科医院の選択肢が多い地域では、治療名だけで比べるより、どの歯を残すかではなく、残した結果どうなるかまで説明しているかを見る方が本質的です。
流れ作業ではなく、長期安定を見据えて判断したい方には、その視点が合っています。
この記事のテーマ全体に戻って整理したい方は、
→ 名古屋で歯がボロボロの方へ|残せる歯と抜くべき歯の考え方
Q&A
Q1. 歯がボロボロでも、残せる歯はありますか?
あります。
ただし、1本だけ見て残せるかを決めるのではなく、その歯を残したあとに口全体が長く安定するかまで含めて判断します。
Q2. 残せる歯なら、できるだけ残した方がいいですか?
必ずしもそうではありません。
残すことで他の歯に負担が集まり、結果として口全体の寿命を縮めるなら、抜歯を含めた方が合理的なこともあります。
Q3. 何本も悪い歯がある場合は、1本ずつ治すべきですか?
状況によります。
悪い歯が多い場合は、1本ずつ治すより、最終的にどう噛める状態をつくるかを先に決めた方が、治療の無駄が少なくなることがあります。
Q4. オールオン4は、歯がボロボロなら誰でも適応ですか?
誰にでも合う治療ではありません。
骨の状態、歯ぐき、かみ合わせ、見た目、清掃のしやすさまで含めて、口全体の設計から適応を判断します。
歯がボロボロになってしまったときは、いきなり治療法を決める前に、まず全体像を整理することが大切です。
残せる歯があるのか、入れ歯が向くのか、固定式まで含めて考えるべきなのかを落ち着いて見直したい方は、
→名古屋で歯がボロボロの方へ|全部抜いて治す前に知っておきたい治療の選択肢
監修者情報

EDEN DENTAL OFFICE (エデン デンタル オフィス)
院長 村井亮介
名古屋中区の伏見駅から徒歩2分の「エデンデンタルオフィス」では、米国補綴専門医の資格を持つ院長が、10年、20年先を見据えた精密な治療を提供します。歯科医院特有の緊張感を和らげるため、家族のように寄り添う丁寧な対話を重視。患者様の背景や「どうなりたいか」という想いを深く汲み取り、できる限りの最高の治療クオリティーを常に心掛けております。
経歴
- 愛知学院大学歯学部歯学科卒業
- 大手歯科医療法人勤務
- インディアナ大学歯学部補綴科卒業
資格
- 米国補綴専門医
所属学会
- 日本補綴歯科学会
- ACP american academy of prosthodontics member
- ITI international team
for implntology 会員 - AO academy of
osseointegration 会員
CONSULTATION 無料相談・セカンドオピニオン
インプラントをはじめ、審美補綴や義歯などの外科的治療に関するご相談を承っております。その他の治療内容についてもお気軽にお問い合わせ下さい。



