ブログ
名古屋のインプラント症例一覧|前歯・奥歯・複数歯欠損の治療例
症例を見る前に知っておきたいこと
名古屋でインプラント治療を検討されている方の中には、
「自分と似た症例があるか知りたい」
「どのような治療になるのか具体的に見てみたい」
とお考えの方も多いのではないでしょうか。
インプラント治療は、欠損している部位や本数、残っている歯の状態、噛み合わせなどによって治療方針が異なります。そのため、症例を見る際には見た目だけでなく、どのような診断のもとで、どのように治療計画が立てられたかを確認することが大切です。
ここでは、Eden Dental Officeで対応しているインプラント症例を、前歯・奥歯・複数歯欠損を中心にご紹介します。ご自身に近い症例を探す際の参考としてご覧ください。
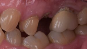
奥歯のインプラント症例
奥歯を失うと、見た目以上に「しっかり噛めない」という機能面の問題が大きくなります。
特に奥歯のインプラント治療では、埋入位置だけでなく、噛み合わせや被せ物の設計が重要です。
食事がしにくい、片側でしか噛めない、入れ歯やブリッジと迷っているという方は、ご自身に近い症例を探す参考としてご覧ください。
【右下奥歯の重度虫歯に対してインプラントで修復した症例】
患者様 :【62歳男性】
主訴 :【他院で抜歯と言われて、相談したい】
治療内容:【残っている歯を抜歯し、インプラントにて修復】
期間費用:【4ヶ月, 66万円】


▶ 詳しく見る
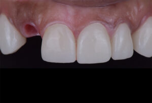
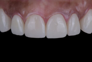
前歯のインプラント症例
前歯のインプラント治療では、噛む機能だけでなく、見た目の自然さも重要になります。
歯の形だけでなく、歯ぐきのラインや周囲の歯との調和まで含めて考える必要があります。
名古屋で前歯のインプラント治療を検討されている方は、審美性だけでなく、機能や長期的な安定も含めて症例をご覧ください。
【上の前歯1本に対してインプラントで修復した症例】
患者様 :【60歳女性】
主訴 :【人前に出る仕事なので、できる限り自然な見た目で治したい】
治療内容:【1本のインプラントにて修復】
治療期間:【5ヶ月, 66万円】


▶ 詳しく見る
複数歯欠損・難しいと言われた方の症例
歯を複数本失っている場合や、他院で「難しい」と言われた場合には、欠損部だけを見て治療法を決めるのではなく、お口全体のバランスを見ながら治療計画を立てることが大切です。
残っている歯の状態、噛み合わせ、将来的なメインテナンスのしやすさまで含めて考える必要があります。
単にインプラントが可能かどうかだけではなく、その後の機能回復や長期的な安定まで見据えて治療方針を検討しています。
名古屋でインプラント症例を参考にする際に大切なこと
インプラント症例は、治療後のイメージを持つうえでとても参考になります。
一方で、症例はあくまで一例であり、同じ部位の欠損であっても、骨の状態、噛み合わせ、歯ぐきの条件、残っている歯の状態によって、適した治療方法は変わります。
そのため、症例写真だけを見て「自分も同じようになる」と考えるのではなく、どのような診断のもとで、どのような考え方で治療が行われたかを見ることが大切です。
名古屋でインプラント治療を比較されている方は、見た目だけでなく、噛みやすさ、清掃性、長期的な安定まで考えているかどうかという視点も持っておくと、医院選びの参考になります。
他院で難しいと言われた方や、入れ歯・ブリッジとの比較も含めて相談したい方は、無料相談・セカンドオピニオンをご利用いただけます。
▶ 無料相談はこちら
▶ インプラント総合ページはこちら
監修者情報

EDEN DENTAL OFFICE (エデン デンタル オフィス)
院長 村井亮介
名古屋中区の伏見駅から徒歩2分の「エデンデンタルオフィス」では、米国補綴専門医の資格を持つ院長が、10年、20年先を見据えた精密な治療を提供します。歯科医院特有の緊張感を和らげるため、家族のように寄り添う丁寧な対話を重視。患者様の背景や「どうなりたいか」という想いを深く汲み取り、できる限りの最高の治療クオリティーを常に心掛けております。
経歴
- 愛知学院大学歯学部歯学科卒業
- 大手歯科医療法人勤務
- インディアナ大学歯学部補綴科卒業
資格
- 米国補綴専門医
所属学会
- 日本補綴歯科学会
- ACP american academy of prosthodontics member
- ITI international team
for implntology 会員 - AO academy of
osseointegration 会員
CONSULTATION 無料相談・セカンドオピニオン
インプラントをはじめ、審美補綴や義歯などの外科的治療に関するご相談を承っております。その他の治療内容についてもお気軽にお問い合わせ下さい。



