伏見駅の歯医者「エデンデンタルオフィス」|インプラント治療

  • 自由診療対応
  • 完全予約制
  • 伏見駅徒歩2分

予約状況

無料相談(初回)
初診

名古屋市中区の歯医者「Eden Dental Office」

名古屋市中区の歯医者「Eden Dental Office」

名古屋市中区の歯医者「Eden Dental Office」

名古屋市中区の歯医者「Eden Dental Office」

MENU

WEB予約

TEL

お電話はこちらから

052-265-8996

インプラント治療

  • TOP
  • インプラント治療

こんなお悩みありませんか?

  • 昔から虫歯が多く、抜いたままになっている歯をそのまま放置してしまっている方
  • 他院で「インプラントは難しい」「できない」と言われた
  • 自分の歯のように食べたい方

このようなお悩みのあるインプラントをご検討されている方は、当院にご相談ください。 当院では、基礎を大切にしながら、米国補綴専門医として最先端の経験を生かし、長期的な安定を重視した設計をもとに治療を行っています。 特にインプラント治療でご不安がある方は、当院にお任せください。

インプラント治療とは

インプラント治療とは、歯を失った部分の顎の骨に人工の歯根(インプラント体)を埋め込み、その上に人工の歯を装着して、歯の機能と見た目を回復する治療方法です。
天然の歯とほぼ同じ構造を再現できるため、義歯やブリッジよりもより良い見た目や噛み心地が得られます。
「自分の歯のように噛める治療」をご希望の方に、長期的な安定と快適性を両立する治療法としてお勧め致します。
※インプラント治療は自由診療です。

当院のインプラント治療の考え

正直なところ、インプラント治療は、ある程度の外科的経験があれば多くの歯科医師が行うことが可能です。
しかし、最も難しい点は治療計画の立案にあります。インプラントは一度埋入すれば永久に機能し続けるものではなく、埋入する位置や角度によって、その後の安定性や寿命が大きく左右されます。
例えば、骨の浅い位置に埋入してしまうと、上部構造の形態が不自然になりやすく、結果としてインプラント周囲炎を引き起こすリスクが高まります。そのような場合、最終的にインプラント自体の寿命が短くなってしまうことも少なくありません。

現在では比較的、誰にでも行える治療となりましたが、だからこそ、インプラントの基礎から最先端技術までを3年間アメリカで体系的に学んだ技術のある当院にお任せ頂きたいと考えております。
また、歯を失ったまま過ごすことで、噛み合わせの崩れや見た目の変化、さらには食事の不自由さなど、生活の質が低下してしまう方も多くいらっしゃいます。
当院では、そのような患者様に再びしっかり噛める喜びを取り戻して頂けるよう、最善の治療をご提供してまいります。

当院のインプラント治療の特長

インプラント治療を専門とする
院長が対応

院長は、ITI(International Team for Implantology)、AO(Academy of Osseointegration)などの国際学会に所属する米国補綴専門医です。歯の欠損補綴や咬合、審美修復に関する包括的知識を体系的に修得し、インプラントに関する国外論文を数百本精読するなど、科学的根拠に基づいた治療を行っております。
また、骨量が少ない、全顎的再建が必要といった難症例にも多数携わり、理論と臨床経験の両方を兼ね備えていることが当院の強みです。

インプラント治療を支える
精密な診査・診断体制

インプラント治療の成否は、手術そのものではなく、術前の診査、診断にかかっております。インプラントを骨に埋入するだけであれば、技術的には多くの歯科医師が行うことが可能です。
しかし、長期的に安定し、自然な咬合と調和した結果を得るためには、骨や歯茎の状態、咬合関係、顔全体のバランスを的確に評価する力が欠かせません。
当院では、術前の診断と治療設計を最も重視し、科学的根拠に基づいた分析を行った上で、すべての工程を論理的かつ精密に進めております。また、患者様にはCT画像やシミュレーションを用いた詳細な提案資料をお渡しし、治療内容を明確にご理解頂けるよう努めております。

世界的に信頼される
スイス製インプラントを採用

世界40カ国以上で採用され、臨床実績の高いスイス製インプラントメーカーを使用しております。
日本国内でも使用実績が多く、世界全体では第2位のシェアを誇る信頼性の高いブランドです。

骨が少ない方にも対応する骨造成技術

顎骨の高さや厚みが不足している場合でも、当院では骨造成手術を行うことでインプラント治療を可能にしております。GBR法(骨誘導再生法)、サイナスリフト、ソケットリフトなど、患者様に最適な再生治療をご提案致します。

精密な治療を行うための
先端設備を整えています

歯科用CTやインプラントプランニングソフトを用いて、神経や血管の位置を精密に把握し、さらにマウスピース型のサージカルガイドを作製し、安全かつ正確な埋入処置を致します。
また、オペ室を完備し、清潔で安心できる環境下で治療を行っております。

歯がボロボロ、歯が無い方も
諦めなくて大丈夫

当院では、歯がほとんど残っていない方にも対応可能なオールオン4にも対応しております。オールオン4とは、片顎最小4本のインプラントで10本~12本の人工歯を支える治療方法であり、見た目、機能ともに自然な仕上がりとなります。

インプラント治療の流れ

インプラント治療には、1回法、2回法、即時荷重法など、複数の治療方法がございます。
それぞれに適した条件があり、骨の状態や全身の健康状態、生活習慣などを総合的に判断した上で、患者様お一人ひとりに最適な方法をご提案致します。

STEP01初診相談(無料)

インプラント治療に関する無料相談を随時受け付けております。お電話またはWeb予約よりお気軽にお問い合わせ下さい。

STEP02精密検査

無料相談後、インプラント治療をご希望される方は、後日CT撮影を含む精密検査を実施致します。
骨の厚みや神経、血管の位置などを3次元的に解析します。

STEP03カウンセリング・治療計画立案

検査結果を基に、治療方法や期間、費用の詳細をご説明致します。患者様のご理解とご納得を頂いた上で、最適な治療方針を決定致します。ご不明な点があればお気軽にお伝え下さい。

STEP04術前処置

歯周病がある場合、そのままではインプラントが安定しません。そのため、歯周病の症状がみられる患者様には、手術前に初期治療を実施致します。
また、細菌感染を防止し、インプラントの寿命をできる限り長持ちさせるために、クリーニングによって口腔内を清潔な状態に整えてから、インプラント手術を行っております。

STEP05インプラント埋入

事前にご同意頂いた治療計画に基づき、清潔なオペ室にて安全にインプラント体を埋入致します。

STEP06治癒期間(1~3ヶ月)

インプラント埋入後、インプラント体と骨がしっかりと結合するまで、1か月~3か月の治癒期間を設けております。

STEP07被せ物の製作・装着

上部構造(被せ物)をインプラント上部に装着致します。
上部構造(被せ物)は院内で作製しており、患者様の口腔内に適合するよう綿密に調整を行っております。咬合状態を確認しながら、自然な噛み心地と審美性を両立できるよう丁寧に仕上げております。

STEP08メインテナンス

治療完了後も、定期的なメインテナンスを通じてインプラントの健康状態を管理致します。
清掃指導や咬合チェックを継続的に行い、長期的な安定を維持できるようサポートしております。

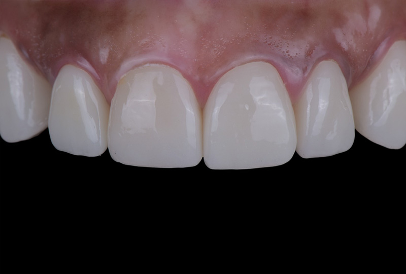
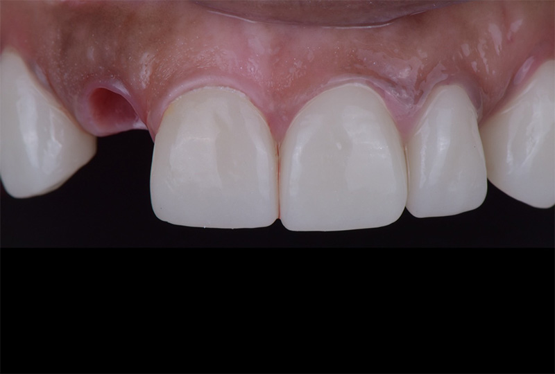
インプラント治療の症例

インプラント治療

  • 治療前

  • 治療後

治療の詳細はこちら
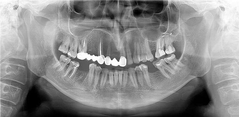
症例名 被せ物の下が虫歯になり折れてしまい、抜歯適応になってしまった歯をインプラントを抜歯と同時に埋入する事で、インプラントにより審美面機能面で回復を行った症例
年齢 62
性別 女性
主訴/ニーズ 被せ物が外れた。できれば元通りに直して欲しい。人前に立つ職業なので、見た目が自然なのが1番大事。
治療回数 4回
治療期間 4ヶ月
治療のリスク 外科処置が必要になります。
インプラントが骨と結合しない場合があります。
人によっては追加の骨をつくる治療が必要になります。
将来インプラント周囲炎になる可能性があります。
全身疾患をお持ちの方や喫煙者の方は治癒が悪い場合があります。
骨の状態によっては、一度歯茎を閉鎖し、当日に仮の歯が入らない可能性もあります。
想定される副作用 術後出血のリスクがあります。
治療内容 この患者様は、被せ物が取れてしまったため再装着を希望されて来院されました。 しかし、診査の結果、被せ物の土台となる歯根が折れており、残念ながら抜歯以外の選択肢がない状態でした。見た目や機能、そして長期的な安定性を考慮したうえで、今回は抜歯と同時にインプラントを埋入する「抜歯即時インプラント」を行いました。 この方法を選択することで、治療期間を大幅に短縮できるだけでなく、周囲の歯ぐきの退縮を最小限に抑え、より自然で美しい仕上がりが期待できます。 抜歯即時インプラントは、すべてのケースで行えるわけではなく、適応症の見極めが非常に重要です。この患者様の場合、骨の状態や感染の有無などを慎重に確認したうえで、適応可能と判断し実施しました。結果として、見た目・機能ともに良好な経過を得ることができました。患者様も結果に非常に満足されました。
費用 60万円

CONSULTATIONセカンドオピニオン・無料相談

当院では、インプラント治療に関する無料相談およびセカンドオピニオンを実施しております。「他院でインプラントを断られた」「骨が足りないと言われた」などのお悩みをお持ちの方は、ぜひ一度ご相談下さい。
伏見駅・名古屋エリアでインプラント治療をご検討の方に、確かな技術と経験で最適な治療法をご提案致します。

料金(税込)

インプラント治療(自由診療)

インプラント(1本) 660,000円~880,000円
オールオン4・6 3,500,000円~5,000,000円

オプション(自由診療)

インプラントガイド 0円

骨の再生治療(自由診療)

GBR 55,000~110,000円
ソケットリフト 55,000円


BLOG/CASE関連ブログ/関連症例

2026.04.12
米国補綴専門医とは?|名古屋でインプラント・審美歯科をお考えの方へ
2026.04.11
名古屋  インプラント ソケットリフトとは何かを解説
2026.04.11
名古屋 結合組織移植・遊離歯肉移植とは何か|歯ぐき移植と診断の考え方
2026.04.03
名古屋で考える噛み合わせと健康の関係|歯を守るために大切なこと
2026.04.03
名古屋 インプラント無料相談で整理できること
2026.03.31
名古屋 インプラントと飛行機搭乗、金属探知機で知っておきたいこと
2026.03.31
名古屋  インプラント手術後のお酒はいつから大丈夫か
2026.03.31
名古屋  インプラント トラブルの原因と防ぎ方
2026.03.31
名古屋 インプラントオペ後の仕事復帰はいつから?|名古屋の歯科医が解説
2026.03.30
名古屋 インプラント後の運動はいつから再開できるか
2026.03.30
名古屋 インプラント治療をしてから海外旅行は大丈夫?飛行機の考え方
2026.03.30
名古屋  インプラント麻酔の考え方と安全性
2026.03.28
名古屋インプラントで迷う方へ 歯を残す治療の考え方
2026.03.27
名古屋 インプラント治療で考えるオーバーデンチャーという選択肢
2026.03.27
名古屋のインプラント症例一覧|前歯・奥歯・複数歯欠損の治療例
2026.03.27
Edenのインプラント治療の特徴|長期安定を見据えた補綴主導型設計
2026.03.27
名古屋 インプラント セカンドオピニオンで見るべき判断基準
2026.03.24
名古屋  インプラント 奥歯を失ったときの治療選択
2026.03.23
名古屋  インプラントと歯科CTの安全性を丁寧に整理
2026.03.23
名古屋 インプラントと授乳中の治療判断|診断から考える適切なタイミング
2026.03.21
名古屋 インプラント治療は妊娠中できるのか|治療判断と注意点
2026.03.21
名古屋 抜歯即時インプラント|向く症例と注意点 名古屋で抜歯即時インプラントを考える方へ
2026.03.21
名古屋でインプラントが難しいと言われた方へ|持病・骨不足・ご高齢の方が最初に確認したいこと
2026.03.17
名古屋  インプラントでCTが必要な理由と安全性の考え方
2026.03.17
名古屋 インプラント初診相談で確認すべき診断視点
2026.03.16
名古屋 噛み合わせから考えるインプラント治療|長く安定して使うための診断の視点
2026.03.16
名古屋のインプラント治療で仮歯が重要な理由|見た目と噛みやすさを左右するポイント
2026.03.16
名古屋 歯周病があるとインプラントはできない?治療前に知っておきたい判断基準
2026.03.16
名古屋でインプラントの治療期間はどのくらい?|期間の目安と考え方を解説
2026.03.14
名古屋でインプラント治療のメリット・デメリットを考えるときに大切なこと
2026.03.14
名古屋で多数歯欠損のインプラント治療を考える方へ|治療法と設計を解説
2026.03.14
名古屋でインプラント治療後に気をつけること|術後の注意点と避けたい行動
2026.03.14
名古屋 インプラントができないケースとは|適応外になる理由を歯科医が解説
2026.03.13
名古屋でインプラント手術後の食事が気になる方へ|いつから食べられる?避けたい食べ物も解説
2026.03.13
名古屋でインプラントメーカーの違いを比較|歯科医が診断視点で解説
2026.03.13
名古屋でインプラントが怖いと感じる方へ|痛み・手術・不安について歯科医が解説
2026.03.13
名古屋 インプラントに保険は適用される?|保険適用の条件と自費診療の違いを解説
2026.03.10
名古屋でインプラントの神経損傷リスクが気になる方へ|起こる原因と予防策を解説
2026.03.10
名古屋で若い方の名古屋で若い方でもインプラント治療はできる?|年齢と適応の考え方を解説
2026.03.10
名古屋 インプラント手術後の腫れはいつまで?|腫れのピーク・回復期間・注意点を解説
2026.03.10
名古屋でインプラントを長く使うために大切なこと|メンテナンス・設計・長期安定を考える
2026.03.10
名古屋 インプラント前に行うGBRとは?|骨が足りない場合の骨造成を解説
2026.03.10
名古屋 インプラントのやり直しが必要になるのはどんな時?|原因と対処法を解説
2026.03.10
名古屋 インプラントのために行う上顎洞挙上術とは?|骨が少ない場合の治療
2026.03.09
名古屋 インプラントのサージカルガイドとは?|役割と必要性を歯科医が解説
2026.03.09
名古屋 インプラントの追加費用がかかるのはどんな時?|費用の内訳と注意点を解説
2026.03.09
名古屋 インプラントが高い理由とは?|費用の内訳と高額になる背景を解説
2026.03.09
名古屋 インプラントが入っていてもMRIは受けられる?|検査への影響と注意点を解説
2026.03.09
名古屋 インプラント手術後の痛みはどれくらい?|痛みの期間と対処法を解説
2026.03.09
名古屋でインプラント手術の時間はどれくらい?|手術の流れと所要時間を解説
2026.03.09
名古屋でインプラント治療をして後悔するケースとは?|原因と予防を歯科医が解説
2026.03.09
名古屋で歯ぎしりがある場合、インプラントは問題ない?|影響と対策
2026.03.09
名古屋でインプラント治療が難しいケースとは?|診断と治療判断の考え方
2026.03.09
名古屋のインプラント費用はいくら?|治療費の内訳と費用の考え方
2026.03.07
名古屋でインプラント前に骨造成は必要?|骨が足りない場合の治療
2026.03.07
名古屋で歯を抜いたまま放置するとどうなる?|インプラント治療への影響
2026.03.07
名古屋で歯を失うと骨はなぜ減る?|骨吸収とインプラント治療
2026.03.07
名古屋 インプラント 神経損傷ってなに?
2026.03.07
名古屋 インプラントが高額で不安な理由
2026.03.06
名古屋 インプラントは「手術」ではなく「設計治療」です
2026.03.03
名古屋 インプラントに失敗しない医院の選び方
2026.03.03
名古屋 インプラントを安いだけで選ぶと後悔する?10年後の総費用と再治療リスク
2026.03.03
名古屋 インプラントは一生もつ?20年後の生存率と長期安定の条件
2026.03.03
名古屋 インプラントの失敗を防ぐには
2026.03.03
名古屋 インプラント CTだけでは不十分な理由
2026.03.02
名古屋 インプラントを選ぶなら|10年後も安定する治療の見極め方
2026.03.02
名古屋 インプラントを長持ちさせる方法|メンテナンス頻度と周囲炎予防の基準
2026.03.02
名古屋 インプラント治療を受けた方へ|医療費控除でいくら戻る?計算方法を解説
2026.03.02
名古屋 インプラントは何歳まで可能?高齢者治療の基準と長期安定性
2026.03.02
名古屋 金属アレルギーが心配な方へ|インプラントとチタンの安全性を解説
2026.03.02
名古屋で高血圧の方はインプラント治療できる?|治療前に知っておくべき注意点
2026.03.02
名古屋 骨粗鬆症の方がインプラントを検討する前に治療前に知っておくべきポイント
2026.03.02
名古屋 糖尿病の方はインプラントできる?|治療リスクと注意点
2026.02.28
名古屋 喫煙者の方がインプラントを検討する前に
2026.02.28
名古屋で上顎の骨が少ない場合のインプラント治療|サイナスリフトとは
2026.02.28
名古屋でインプラントの骨が足りないと言われたら?|骨造成と治療方法
2026.02.28
名古屋のインプラント保証は何年?|歯科医院選びのポイント
2026.02.28
名古屋 インプラント手術は痛そう、、 痛みの残る期間と実際のリスク
2026.02.28
名古屋 インプラント ネジ固定が基本?セメント固定との違いと選び方
2026.02.28
名古屋 インプラントって危なそう CT診断と安全管理の実際
2026.02.28
名古屋 インプラント治療時期はいつが安全?
2026.02.28
名古屋 インプラントで周囲炎を防ぐ設計とは
2026.02.28
名古屋 インプラント 15年で考える長期コストと歯を守る設計
2026.02.28
名古屋のインプラント費用と相場を考える方へ|内訳・追加費用・長期コストまで整理
2026.02.28
名古屋 インプラントが向いている人・向いていない人
2026.02.28
名古屋 前歯インプラントをするとき知っておいてほしいポイント
2026.02.28
名古屋 インプラント 奥歯を失ったまま放置するとどうなる?
2026.02.27
名古屋 インプラント 歯を1本抜いた方へ
2026.02.27
名古屋 ブリッジとインプラントの比較
2026.02.27
名古屋 入れ歯とインプラントどっちが良い?支持構造と長期安定の違い
2026.02.27
名古屋 インプラントは何年もつ?
2026.02.27
名古屋 インプラント 1次オペと2次オペってなに?
2026.02.27
名古屋 インプラント 基本的な構造について
2026.02.27
名古屋 インプラント治療の流れ|検査・設計・手術・補綴までを順番に整理
2026.02.17
名古屋 インプラントになる前に 歯を失う原因3つ
2026.02.10
名古屋でインプラント治療を考える方へ|後悔しないために最初に整理したいこと
2026.02.07
名古屋 インプラントが必要になる前に|歯がなくなる原因を理解する
2026.02.06
名古屋 インプラント|後悔しないために最初に整理しておきたいこと
2026.01.27
名古屋 インプラント 抜歯を宣告された時に考えること