ブログ
名古屋 オールオン4で整理する|一気に進める範囲と期間
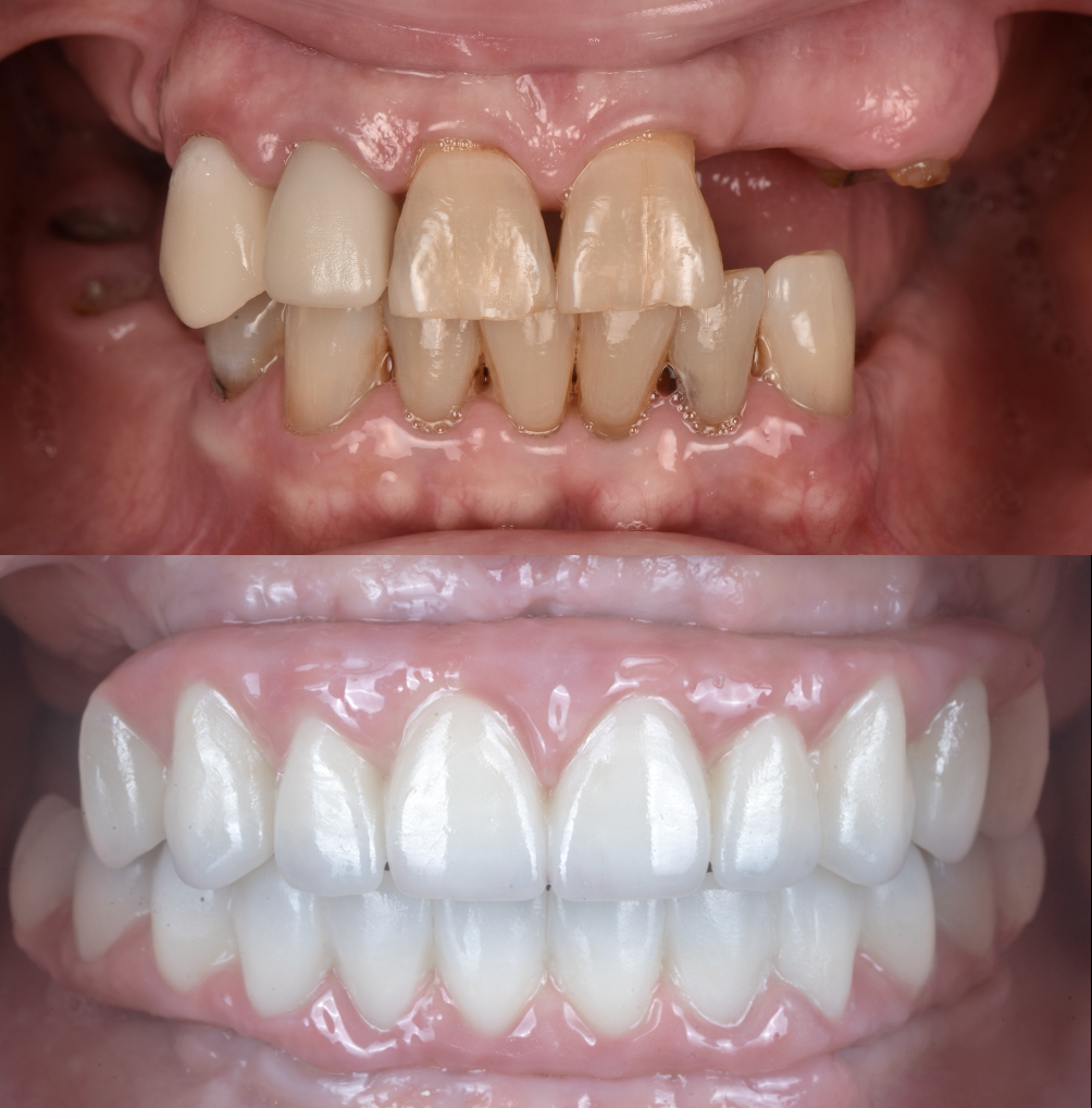
名古屋で歯がボロボロの治療は、どこまでまとめて進められるのか

名古屋でオールオン4を考えるとき、治療はある程度まとめて進められます。
ただし、すべての工程を短期間に集約することが、常に最も安全とは限りません。
名古屋で歯がボロボロの方が知っておきたいのは、治療には次の2種類があるという点です。
- 短くしにくい工程
抜歯後の治癒、入れ歯の安定、インプラントと骨がなじむ期間 - 短くしやすい工程
型取り、かみ合わせの記録、仮歯から最終の歯への移行
つまり、名古屋 オールオン4で大切なのは、
「どこまで短期間で進められるか」ではなく、「どこをまとめても結果が不安定にならないか」です。
名古屋で歯がボロボロ、名古屋で歯を全部治したい、名古屋で一日で歯を入れたいと考える方ほど、まず治療の全体像を整理した方が判断しやすくなります。
→ 名古屋で歯がボロボロでも治療できる?まず整理したい4つの選択肢
基本の流れと、期間を短くできる場所
歯がボロボロの方で、奥歯も前歯も残っている場合、比較的安全に進める流れは次の形です。
- まず奥歯だけを抜く
- 2〜3週間ほど待って、奥歯側の歯ぐきが少し落ち着くのを待つ
- その後、すぐ使う入れ歯の準備を始める
- 型取りをして、かみ合わせの高さや前歯の位置を決める
- 全体を抜歯し、同日に入れ歯を入れる
- その入れ歯を使い、見た目、発音、食事のしやすさを確認する
- 入れ歯の歯の位置を基準に、オールオン4の埋入位置を設計する
- インプラント埋入後、通常3〜4か月待つ
- 丈夫な仮歯を入れて、さらに約1か月確認する
- 問題がなければ最終の歯へ進む
この流れだと、安全側で進める場合の目安はおよそ5〜8か月です。
すぐ使う入れ歯を経由し、設計を固めてからオールオン4へ進むためです。
一方、総入れ歯として最終形を安定させるだけなら、抜歯後の歯ぐきや骨の変化が大きいため、最終の型取りは一般に約6か月前後待つ考え方が基本になります。
そのため、総入れ歯を先に安定させてから固定式の歯に進む流れでは、さらに期間が長くなることがあります。
ただし、前歯がほとんど残っていない場合や、前歯1本・奥歯1本程度しか残っていない場合は、最初から入れ歯の準備を進めやすく、段階的な抜歯を省けることがあります。
残せる歯と抜く歯の考え方は、ここを読むと整理しやすいです。
→ 名古屋で歯がボロボロの方へ|残せる歯と抜くべき歯の考え方
また、1本ずつ治すか、まとめて治すかで迷う方にも関係するテーマです。
→ 歯がボロボロのとき、1本ずつ治すべきか全部まとめて治すべきか
当日に歯が入る場合と、段階を分けた方がよい場合
名古屋で当日 歯が入る治療や、名古屋で固定式の歯を早い段階で入れたいという希望は少なくありません。
実際、状態が良ければ、抜歯した日にインプラントを入れ、その日に仮歯まで入る進め方ができる場合もあります。
この場合は、来院回数も期間もかなり短くなり、抜歯当日〜数日以内に見た目を回復できることがあります。
ただし、その進め方が向くのは、次の条件がそろう場合です。
- 炎症が強すぎない
- 骨の形がある程度読める
- 初期固定が取りやすい
- かみ合わせの設計が早い段階で固められる
- 骨造成を大きく足さなくてよい
逆に、抜歯と同時に骨造成を広く行う場合や、骨の条件が厳しい場合は、治療期間を過度に短縮することで失敗の可能性が上がることがあります。
骨が少ない インプラントの相談や、歯周病で歯がボロボロのケースでは、とくに慎重な判断が必要です。
→ 名古屋で歯周病で歯がボロボロになった方の治療法
つまり、オールオン4で「進められるか」と「安全に進めるべきか」は同じではありません。
患者さんが早さを優先したいのか、リスクをできるだけ下げたいのかで、選ぶ計画は変わります。
抜歯が多いと言われた方は、先に確認すべき視点があります。
→ 歯がボロボロで何本も抜歯と言われたときに確認したいこと
設計を先に固めると、短くできる工程と待つべき工程が分かれる
日々の診療で感じるのは、多数歯欠損や歯がほとんどない方ほど、問題は本数だけではないということです。
本当に難しいのは、どの高さで噛むか、前歯をどこに置くか、唇をどこまで支えるかの設計です。
米国の補綴治療の教育では、まず歯の完成位置を決めてから埋入位置を決める発想を重視します。
補綴とは、歯の形、かみ合わせ、見た目を再建する考え方です。
この視点に立つと、入れ歯や仮歯は単なる仮の歯ではなく、最終形を確認するための設計図になります。
そのため、オールオン4でも、比較的安全な考え方は次の通りです。
- まず入れ歯や仮歯で、見た目とかみ合わせを確認する
- その歯の位置を画像診断に重ねる
- そこからインプラントの位置を決める
- 治癒を待つ部分は待つ
- 治癒に関係しない部分は、デジタルで短縮する
最近は、仮歯の形が十分に仕上がっていれば、最終の歯へ進むときに、
もう一度何段階も型取りや試適を繰り返さず、一回の記録で進められる場合があります。
ここはデジタル化で短縮しやすい部分です。
一方で、抜歯後6か月ほど待って総入れ歯の最終型取りを行うという生体の変化や、インプラント埋入後3〜4か月待つという骨の治癒は、基本的に短縮しにくい部分です。
最初にどんな検査が必要かを知っておくと、この違いが分かりやすくなります。
→ 歯がボロボロの方が最初に受けるべき検査とは
見た目まで含めて整理したい方は、こちらもつながる内容です。
→ 歯がボロボロで人前で笑えない方へ|見た目の回復まで考えた治療とは
虫歯主体で崩れている方は、治療計画の考え方が少し変わります。
→ 名古屋で虫歯だらけ・歯が崩れている方の治療計画の立て方
入れ歯以外の選択肢を広く見たい方は、ここも参考になります。
→ 歯がボロボロでも入れ歯以外の選択肢はある?
名古屋でオールオン4を考える方が整理したい期間の目安
名古屋で歯がボロボロの治療を考えるとき、期間の目安は大きく3つに分かれます。
- 最も短期間で進める形
状態が良ければ、抜歯当日に仮歯まで進むことがある - 安全側の標準的な形
入れ歯で確認しながら進め、約5〜8か月 - 総入れ歯を先に安定させる形
抜歯後の変化を待つため、半年以上かかることが多い
つまり、オールオン4は「一日で終わる治療」ではなく、
どこまでを当日に行い、どこからを治癒確認に回すかを設計する治療です。
栄や伏見、愛知県中区で、オールオン4、総入れ歯、入れ歯、 インプラントを比較している方ほど、早さだけでなく、どの工程を省略しない方がよいかを整理することが大切です。
よくあるご質問(Q&A)
Q1. 名古屋で当日に歯が入るなら、それが一番良い方法ですか。
A. 状態によります。短期間で進められても、骨造成や初期固定の条件が厳しいと、段階を分けた方法の方が合うことがあります。
Q2. 抜歯してすぐ入れ歯を入れることはできますか。
A. できます。ただし、その後に歯ぐきの形が変わるため、最終の入れ歯は別に調整や作り直しが必要になることがあります。
Q3. インプラントは入れたらすぐ最終の歯になりますか。
A. 通常はなりません。多くは3〜4か月ほど待ってから、仮歯や最終の歯へ進みます。
Q4. デジタル化で全部早くできますか。
A. いいえ。短縮しやすいのは型取りや設計の工程です。骨や歯ぐきの治癒そのものは、基本的に待つ必要があります。
このテーマ全体を見直したい方は、この記事が属するまとめページから読むと流れがつかみやすくなります。
→ 歯がボロボロの治療はどこまで一気に進められる?
名古屋でオールオン4を含め、固定式の歯と入れ歯の全体像を整理したい方は、総合ページも参考になります。
→ 名古屋でオールオン治療を検討されている方へ
監修者情報

EDEN DENTAL OFFICE (エデン デンタル オフィス)
院長 村井亮介
名古屋中区の伏見駅から徒歩2分の「エデンデンタルオフィス」では、米国補綴専門医の資格を持つ院長が、10年、20年先を見据えた精密な治療を提供します。歯科医院特有の緊張感を和らげるため、家族のように寄り添う丁寧な対話を重視。患者様の背景や「どうなりたいか」という想いを深く汲み取り、できる限りの最高の治療クオリティーを常に心掛けております。
経歴
- 愛知学院大学歯学部歯学科卒業
- 大手歯科医療法人勤務
- インディアナ大学歯学部補綴科卒業
資格
- 米国補綴専門医
所属学会
- 日本補綴歯科学会
- ACP american academy of prosthodontics member
- ITI international team
for implntology 会員 - AO academy of
osseointegration 会員
CONSULTATION 無料相談・セカンドオピニオン
インプラントをはじめ、審美補綴や義歯などの外科的治療に関するご相談を承っております。その他の治療内容についてもお気軽にお問い合わせ下さい。



