名古屋で歯がボロボロで抜歯と言われたときの確認点|名古屋の歯医者|エデンデンタルオフィスのブログ

  • 自由診療対応
  • 完全予約制
  • 伏見駅徒歩2分

予約状況

無料相談(初回)
初診

名古屋市中区の歯医者「Eden Dental Office」

名古屋市中区の歯医者「Eden Dental Office」

名古屋市中区の歯医者「Eden Dental Office」

名古屋市中区の歯医者「Eden Dental Office」

MENU

WEB予約

TEL

お電話はこちらから

052-265-8996

ブログ

  • TOP
  • ブログ
  • 名古屋で歯がボロボロで抜歯と言われたときの確認点

名古屋で歯がボロボロで抜歯と言われたときの確認点

名古屋で歯がボロボロと言われたとき、最初に確認したいのは「本数」ではなく「理由」です

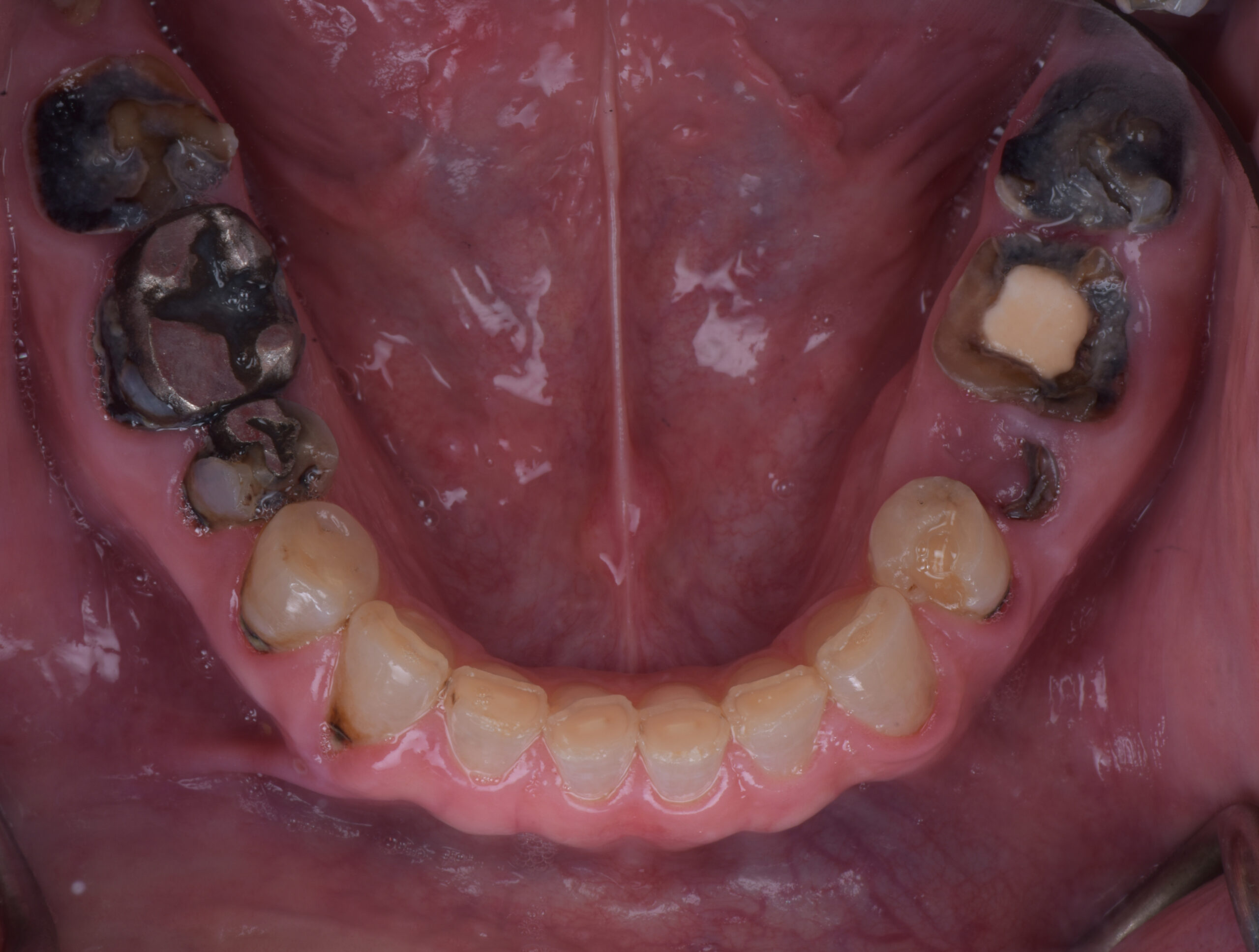
名古屋で歯がボロボロで、何本も抜歯が必要と説明されたときに確認したいのは、抜く本数そのものではありません。

本当に整理すべきなのは、その歯が残せない理由と、残した場合にほかの歯へ何が起きるかです。

同じ「抜歯適応」でも、理由は大きく分かれます。

  • 歯根破折で保存が難しい
  • 重度の歯周病で周囲の骨が大きく失われている
  • 虫歯が深く、被せ物の土台が作れない
  • 感染が続き、隣の歯や噛み合わせに悪影響が出ている
  • 口全体の治療設計上、残すほど不利になる

ここが曖昧なまま治療を進めると、あとで「この歯は残せたのではないか」「逆に、早く抜いた方がよかったのではないか」という後悔が残りやすくなります。

名古屋で歯がボロボロの状態から治療を考えるなら、抜歯の是非を一歯ずつではなく、全体の治療設計の中で判断することが大切です。

治療の選択肢を先に大づかみに整理したい方は、全体像から読むと迷いが減ります。

名古屋で歯がボロボロでも治療できる?まず整理したい3つの選択肢

なぜ「抜くか残すか」はそんなに難しいのか

何本も抜歯と言われたときに混乱しやすいのは、患者さんから見ると全部が同じ「悪い歯」に見えるからです。

しかし実際には、歯の悪さには種類があります。

抜歯を考える理由は、大きく4つあります

  • 感染の問題

    歯の根の先や歯周組織に感染が残り、腫れや排膿を繰り返す状態です。
  • 構造の問題

    歯根が割れている、虫歯が深すぎるなど、物理的に修復が難しい状態です。
  • 力の問題

    揺れの大きい歯や噛み合わせが崩れた歯が、他の歯へ過剰な負担をかけます。
  • 設計の問題

    一見残せそうでも、全体の補綴設計を不安定にし、長期的には不利になることがあります。

ここを分けて説明できるかどうかで、その診断の質はかなり変わります。

特に歯がボロボロの方は、1本ずつ応急的に触るより、全体の順番と優先順位を整理した方が治療の見通しが立ちやすくなります。

日常診療でも、患者さんが最も困っているのは「どの歯が本当に危ないのか分からない」という点です。

実際には、見た目が悪い歯より、静かに周囲の骨を失わせている歯の方が問題になることがあります。

「1本ずつ治すか、まとめて治すか」で迷っている方は、治療単位の考え方もあわせて整理すると判断しやすくなります。

歯がボロボロのとき、1本ずつ治すべきか全部まとめて治すべきか

また、原因が歯周病中心なのか、虫歯中心なのかで治療設計はかなり変わります。

名古屋で歯周病で歯がボロボロになった方の治療法

名古屋で虫歯だらけ・歯が崩れている方の治療計画の立て方

「残せる歯」と「残すべき歯」は同じではありません

ここはとても重要です。

歯科では、理論上は残せる歯と、長期安定のために残すべき歯が一致しないことがあります。

残す判断が慎重になるケース

  • 歯根破折が疑われる
  • 重度の動揺があり、噛む力を支えられない
  • 深い歯周ポケットが残り、清掃管理が難しい
  • 周囲の骨欠損が大きく、隣在歯にも影響しそう
  • 将来、固定式の歯や補綴設計の邪魔になる

特に、歯がほとんどない多数歯欠損歯周病で歯がボロボロといった状態では、1本でも不安定な歯を無理に残すことで、全体の治療が複雑になることがあります。

一方で、抜歯にも限界があります。

  • 抜歯後は骨が減ることがある
  • 治療期間や仮歯の方法を再設計する必要がある
  • すぐに固定式の歯へ移行できるとは限らない
  • 骨が少ないとインプラントの判断が必要になる

米国補綴教育では、抜歯判断をするときに「その歯が残せるか」だけでなく、抜いた後にどんな補綴計画が成立するかを必ずセットで考えます。

この視点がないと、抜歯の説明は正しくても、治療設計としては浅くなります。

検査不足のまま結論を急ぐと、判断が粗くなりやすいので、先に診断項目を知っておくことが役立ちます。

歯がボロボロの方が最初に受けるべき検査とは

補綴主導で見ると、抜歯適応は「残りの歯を守れるか」で考えます

補綴主導とは、最終的にどんな噛み合わせと歯の形を作るかを先に考え、そのために必要な抜歯・保存・再建を決める考え方です。

Eden Dental Officeのように、栄や伏見、愛知県中区で質重視の治療を求める方に合うのは、この順番だと思います。

臨床で再治療症例を診ていると、問題になりやすいのは次のパターンです。

  • 残せるかもしれない歯を、その場しのぎで残して全体が崩れた
  • 逆に、診断が粗く、まだ使える歯まで早く抜いてしまった
  • 仮歯の設計が弱く、噛み合わせが安定しなかった
  • 長期安定より短期の処置効率が優先された

米国補綴のトレーニングでは、抜歯の判断を歯単位ではなくアーチ単位で考える文化が強くあります。

アーチとは、上顎または下顎の歯列全体のことです。

つまり「この歯をどうするか」ではなく、「この歯を残すことで上顎全体、下顎全体の設計が安定するか」を見るわけです。

その視点で見ると、何本も抜歯と言われたときの確認事項はかなり明確です。

確認したい質問

  • この歯は、なぜ残せないのですか
  • 感染、破折、歯周病、噛み合わせのうち、主因はどれですか
  • この歯を残すと、残りの歯にどんな不利益がありますか
  • 抜歯した場合、どのような仮歯や最終補綴を想定していますか
  • 将来は入れ歯、ブリッジ、インプラント、オールオン4のどれが現実的ですか

ここまで聞けると、診断の解像度が一気に上がります。

名古屋で歯がボロボロの状態で、総入れ歯に進むのか、インプラントに進むのか、あるいは一部保存を混ぜるのかは、この設計の考え方でかなり変わります。

入れ歯以外の選択肢や、総入れ歯との比較を知りたい方は、こちらも参考になります。

歯がボロボロでも入れ歯以外の選択肢はある?

また、見た目の回復まで含めて考えたい方は、機能だけでなく表情や口元の回復も別軸で整理すると理解が深まります。

歯がボロボロで人前で笑えない方へ|見た目の回復まで考えた治療とは

名古屋で歯がボロボロの方は、抜歯の説明を「全体設計」で受け止めることが大切です

名古屋で歯がボロボロで何本も抜歯と言われたときは、抜歯の本数に意識が向きがちです。

ですが、整理すべきなのは次の3点です。

  • その歯を抜く理由は何か
  • 残すことで他の歯や噛み合わせに何が起きるか
  • 抜いた後に、どんな長期設計を考えているか

この3つが見えると、治療への納得感はかなり変わります。

当日に歯が入るフルマウスインプラントといった言葉だけで判断するより、まず診断と設計の質を見る方が落ち着いて選べます。

治療をどこまで一気に進められるかが気になる方は、進め方の限界も別記事で整理しています。

歯がボロボロの治療はどこまで一気に進められる?

よくあるご質問(Q&A)

Q1. 何本も抜歯と言われたら、すぐにオールオン4を考えるべきですか。

A. すぐに結論を出す必要はありません。オールオン4は有力な選択肢ですが、残せる歯の有無、骨量、噛み合わせ、仮歯の設計で適応が変わります。

Q2. 抜歯と言われた歯は、必ず周りの歯にも悪影響がありますか。

A. 必ずではありません。ですが、感染、動揺、噛み合わせの乱れ、清掃不良が続く歯は、残りの歯の寿命を縮めることがあります。

Q3. 名古屋で歯がボロボロでも、総入れ歯以外を選べますか。

A. 状況によります。残存歯、骨の量、全身状態によって、部分的な保存、インプラント、固定式の歯など複数の選択肢があります。

Q4. 抜歯を急いだ方がよいケースはありますか。

A. 強い痛み、腫れの反復、歯根破折、周囲の骨欠損拡大が疑われるときは、早めの判断が有利になることがあります。

Q5. セカンドオピニオンでは何を聞けばよいですか。

A. 「なぜ抜くのか」「残すと何が不利か」「抜いた後の設計はどう考えるか」の3点を聞くと、診断の質を比較しやすくなります。

「何本抜くのか」ではなく、「なぜその設計になるのか」まで整理したい方は、まずハブ記事から全体像をつかむと迷いにくくなります。

歯がボロボロで何本も抜歯と言われたときに確認したいこと

このテーマは、名古屋でオールオン4や固定式の歯まで含めて考える入口になりやすい内容です。

全体の選択肢を広く見渡したい方は、こちらから整理すると流れがつかみやすくなります。

名古屋でオールオン治療を検討されている方へ

監修者情報

EDEN DENTAL OFFICE (エデン デンタル オフィス)

院長 村井亮介

名古屋中区の伏見駅から徒歩2分の「エデンデンタルオフィス」では、米国補綴専門医の資格を持つ院長が、10年、20年先を見据えた精密な治療を提供します。歯科医院特有の緊張感を和らげるため、家族のように寄り添う丁寧な対話を重視。患者様の背景や「どうなりたいか」という想いを深く汲み取り、できる限りの最高の治療クオリティーを常に心掛けております。

経歴

  • 愛知学院大学歯学部歯学科卒業
  • 大手歯科医療法人勤務
  • インディアナ大学歯学部補綴科卒業

資格

  • 米国補綴専門医

所属学会

  • 日本補綴歯科学会
  • ACP american academy of prosthodontics member
  • ITI international team
    for implntology 会員
  • AO academy of
    osseointegration 会員

CONSULTATION 無料相談・セカンドオピニオン

インプラントをはじめ、審美補綴や義歯などの外科的治療に関するご相談を承っております。その他の治療内容についてもお気軽にお問い合わせ下さい。