症例
名古屋 上の前歯2本の欠損に対して、1本のインプラントで治療を行った46歳女性
-
治療前

-
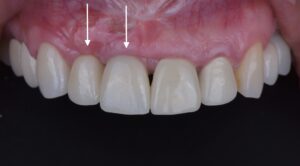
治療後

患者背景と症例概要
名古屋市中区在住の40代女性の患者様の症例です。
患者様は、前歯の歯が折れてしまい、かかりつけの歯科医院を受診されました。そこで「歯の根の病気が進行しており保存が難しいため、前歯2本の抜歯が必要になる可能性が高い」と診断を受けました。また、その際に治療方法としてインプラント治療を勧められましたが、前歯という目立つ部位であることから「見た目が本当に自然に戻るのか」「歯があった頃と同じような見た目になるのか」といった不安を感じられ、当院へ相談に来院されました。
前歯の治療は、単に歯を補うだけの治療ではありません。笑った時に見える歯ぐきのラインや、周囲の歯との色調や形の調和など、審美的な要素を総合的に考える必要があります。特に前歯2本の欠損は、インプラント治療の中でも難易度が高いケースの一つとされています。
今回の症例では、患者様が最も気にされていた「自然な見た目」を最優先に考えながら、骨の状態、噛み合わせのバランス、長期的な安定性を総合的に診断しました。その結果、1本のインプラントで2本の前歯を回復する補綴設計を行う治療計画を立てました。
本症例の治療回数は合計6回、治療期間は約5ヶ月でした。
症例概要
| 項目 | 内容 |
|---|---|
| 年齢・性別 | 名古屋市中区在住 40代女性 |
| 主訴 | 前歯が折れ抜歯が必要と言われた |
| 欠損部位 | 上顎前歯2本 |
| 治療方法 | インプラント1本で2歯補綴 |
| 骨の状態 | 骨幅約4mm / 骨高約13mm |
| 追加処置 | 骨造成(GBR) |
| 治療回数 | 6回 |
| 治療期間 | 約5ヶ月 |
初診時の診断
初診時にはCT撮影を行い、インプラント治療が可能かどうかを詳しく診査しました。CT画像により骨の幅や高さ、周囲の歯の状態、噛み合わせのバランスなどを立体的に確認することができます。
CT所見では、インプラントを埋入予定の部位の骨幅は約4.0mmとやや狭く、そのままでは十分な骨幅が確保できない状態でした。そのため、安全にインプラントを埋入するためには骨造成(GBR)を併用する必要があると判断しました。一方で骨の高さは約13mmと十分にあり、インプラントの長さに関しては問題ありませんでした。
噛み合わせの状態を確認したところ、奥歯の咬合支持は安定しており、前歯に過度な力が集中するような咬合関係ではありませんでした。このような噛み合わせであれば、インプラントに過度な負担がかかる可能性は低いと考えられます。
また、周囲の歯の歯周状態も確認しましたが、歯ぐきの炎症や歯周病による骨吸収などの問題は認められず、口腔内環境は比較的良好でした。
これらの診査結果を総合的に判断し、骨造成を併用したインプラント治療によって機能面と審美面の両方で安定した結果が得られる可能性が高いと診断しました。
治療内容
治療方法の選択肢
今回の症例は前歯2本の欠損を回復する治療であり、インプラント治療の中でも比較的難易度が高いケースでした。
そのため、治療方針はすぐに決めるのではなく、患者様と十分に話し合いながら慎重に決定しました。
それぞれの治療方法について、リスク・治療期間・将来起こり得ること・メリット・費用など、考えられる情報をすべて説明し、時間をかけて検討しました。
患者様は笑った時に歯ぐきが比較的見えるタイプであり、「見た目が自然であること」を最も重視されていました。そのため、審美性を最優先に治療計画を立てました。

インプラント2本という選択
前歯2本それぞれにインプラントを入れる方法も、一般的には考えられる選択肢です。
しかし前歯2本のインプラントでは、歯ぐきの形態を整えることが他の方法に比べて難しく、歯肉移植などの追加処置が必要になる可能性が高いケースでした。
また、審美領域ではインプラント間の歯ぐきの形態を自然に再現することが難しく、場合によっては歯と歯の間に黒い三角形(ブラックトライアングル)が生じることがあります。
さらに費用面の負担も大きくなるため、総合的に検討した結果、この方法は採用しませんでした。
ブリッジという選択
ブリッジ治療も検討しました。
しかし両隣の歯はすでに根の治療がされている歯であり、大きく削ってブリッジの支えにすることは、長期的な歯の寿命を考えると慎重に判断する必要がありました。
健康な歯質をさらに削ることは、将来的な歯の破折や再治療のリスクを高める可能性があります。
義歯(入れ歯)という選択
部分入れ歯も治療の選択肢として説明しました。
しかし前歯の入れ歯の場合、金属のバネが見えることが多く、笑った時に目立つ可能性があります。
患者様は見た目を非常に気にされていたため、この方法は希望されませんでした。
最終的に選択した治療
以上の選択肢を検討した結果、
1本のインプラントで2本の前歯を回復する治療
を行うことになりました。
この方法は、審美性・費用・長期的安定性のバランスを考えた場合、患者様にとって最も合理的な選択と判断しました。

治療設計(Edenの設計思想)
当院では、インプラント治療を「歯を入れる手術」としてではなく、最終的な噛み合わせと見た目から逆算して設計する補綴主導治療として行っています。
当院ではインプラント治療を単なる手術としてではなく、最終的な歯の形と噛み合わせから逆算して設計する補綴主導の治療として行っています。
前歯の噛み合わせは、奥歯のように強く噛み合う必要はありません。そのため本症例では、前歯の咬合接触を軽く触れる程度に調整し、インプラントに過度な力がかからないよう設計しました。
上部構造には3Yジルコニアを使用しました。この材料は強度が高く、1本のインプラントで2本の歯を支える補綴に適しています。また、表面にステインを重ねることで周囲の天然歯と自然に調和する色調を再現しました。
固定方法はネジ固定方式を採用しました。将来的にメンテナンスや修理が必要になった場合でも、上部構造を取り外しやすいという利点があります。
費用
95万円
手術と治療経過
手術は局所麻酔下で行いました。
手術概要
・埋入本数:1本
・インプラントメーカー:ストローマン
・埋入トルク:約35Ncm
・骨造成:あり(GBR)
・手術時間:約60分
手術後の腫れはほとんど見られませんでした。痛みに関しては手術当日に痛み止めを2錠服用したのみで、翌日以降は痛み止めを使用することなく過ごすことができました。
インプラント埋入後は、骨とインプラントが結合するまでの治癒期間を設けました。仮歯の期間は約1ヶ月とし、その間に歯ぐきの形態を整えながら最終補綴の形を調整しました。
治療の流れは以下の通りです。
・インプラント埋入
・仮歯による形態調整
・4ヶ月後に最終補綴装着
治療回数は6回、トータルの治療期間は約5ヶ月でした。
最終補綴装着後のレントゲン評価では、インプラント周囲の骨がインプラント上部までしっかり覆われており、良好な骨結合が確認されました。噛み合わせも安定しており、前歯には適切な咬合接触が付与されています。
審美的にも周囲の歯と自然に調和した仕上がりとなり、患者様にも満足していただくことができました。

長期管理と歯科医師の解説
インプラント治療は、治療が終わった後のメンテナンスが非常に重要です。当院では3ヶ月に1回の定期メンテナンスを基本としています。
メンテナンスでは
・歯科衛生士による専門的クリーニング
・噛み合わせの確認
・歯ぐきの状態のチェック
を行います。また、1年に1回レントゲン撮影を行い、インプラント周囲の骨の状態に問題がないかを確認しています。

よくある質問
前歯が2本なくなった場合でも、必ずしもインプラントが2本必要とは限りません。骨の状態や噛み合わせ、審美条件などを総合的に評価することで、1本のインプラントで2本の歯を回復できるケースもあります。
前歯のインプラントでは、歯ぐきのラインや隣の歯との色調、歯の形態、笑った時の歯ぐきの見え方などを総合的に考慮して設計することが重要です。本症例ではジルコニア補綴を用い、周囲の歯と自然に調和する見た目を再現しました。
治療期間は骨の状態や治療方法によって異なりますが、一般的には4〜6ヶ月程度かかることが多く、本症例では約5ヶ月で治療を完了しました。
治療のリスク・副作用・費用・期間
治療期間
約5ヶ月(治療回数6回)
費用
約95万円(自由診療)
治療のリスク・副作用
・外科処置を伴います
・インプラントが骨と結合しない可能性があります
・骨の状態によっては追加の骨造成が必要になる場合があります
・術後出血や術後感染のリスクがあります
・将来的にインプラント周囲炎を発症する可能性があります
・全身疾患や喫煙習慣により治癒が遅れる場合があります
名古屋でインプラント治療を検討されている方へ
インプラント治療では
・骨の状態
・噛み合わせ
・補綴設計
などを総合的に診断することが重要です。
当院のインプラント治療の考え方や治療の流れについては、以下のページで詳しく解説しています。
監修者情報

EDEN DENTAL OFFICE (エデン デンタル オフィス)
院長 村井亮介
名古屋中区の伏見駅から徒歩2分の「エデンデンタルオフィス」では、米国補綴専門医の資格を持つ院長が、10年、20年先を見据えた精密な治療を提供します。歯科医院特有の緊張感を和らげるため、家族のように寄り添う丁寧な対話を重視。患者様の背景や「どうなりたいか」という想いを深く汲み取り、できる限りの最高の治療クオリティーを常に心掛けております。
経歴
- 愛知学院大学歯学部歯学科卒業
- 大手歯科医療法人勤務
- インディアナ大学歯学部補綴科卒業
資格
- 米国補綴専門医
所属学会
- 日本補綴歯科学会
- ACP american academy of prosthodontics member
- ITI international team
for implntology 会員 - AO academy of
osseointegration 会員
CONSULTATION 無料相談・セカンドオピニオン
インプラントをはじめ、審美補綴や義歯などの外科的治療に関するご相談を承っております。その他の治療内容についてもお気軽にお問い合わせ下さい。



