名古屋のAll-on-4当日仮歯|どこまで噛めるか整理する|名古屋の歯医者|エデンデンタルオフィスのブログ

  • 自由診療対応
  • 完全予約制
  • 伏見駅徒歩2分

予約状況

無料相談(初回)
初診

名古屋市中区の歯医者「Eden Dental Office」

名古屋市中区の歯医者「Eden Dental Office」

名古屋市中区の歯医者「Eden Dental Office」

名古屋市中区の歯医者「Eden Dental Office」

MENU

WEB予約

TEL

お電話はこちらから

052-265-8996

ブログ

  • TOP
  • ブログ
  • 名古屋のAll-on-4当日仮歯|どこまで噛めるか整理する

名古屋のAll-on-4当日仮歯|どこまで噛めるか整理する

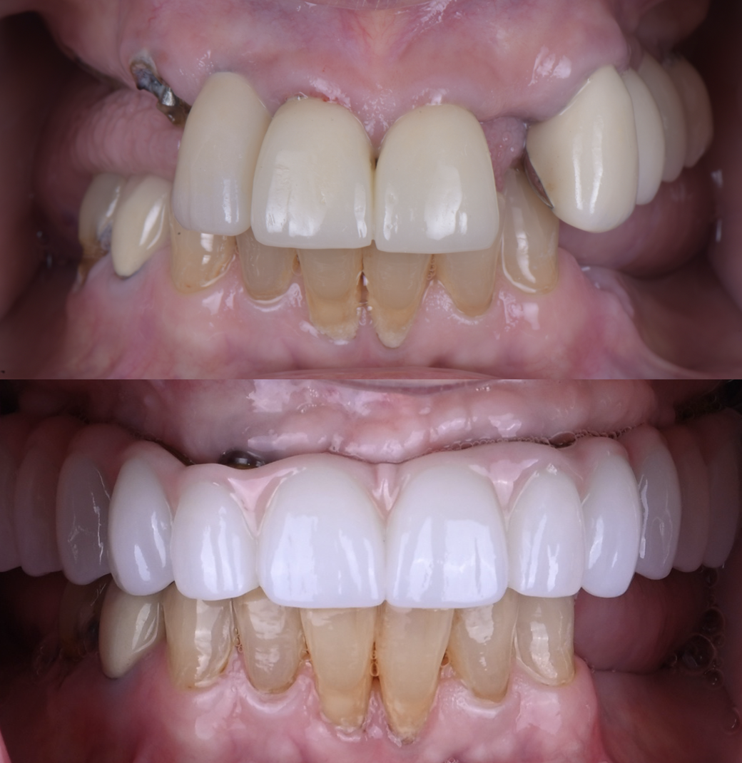
All-on-4の当日仮歯はどこまで噛めるのか

名古屋でAll-on-4の当日仮歯を検討される方が最初に知っておきたいのは、当日仮歯は「何でも普段どおりに噛める歯」ではない、という点です。

ただし、見た目だけの仮歯でもありません。条件が整えば、当日から会話がしやすくなり、やわらかい食事を固定式で食べられる状態を目指せます。

つまり、名古屋で当日に歯が入る治療としてAll-on-4を考える場合の現実的な答えは、次の整理になります。

  • 当日仮歯でできること
    • 人前で話す
    • 見た目を整える
    • やわらかい物を慎重に食べる
  • 当日仮歯で避けたいこと
    • 硬い物を強く噛む
    • 前歯でちぎる
    • 片側だけで噛み続ける
    • 歯ぎしりや食いしばりのまま使う

名古屋でAll-on-4の当日仮歯を希望される方ほど、「当日に歯が入ること」と「長く安定すること」を分けて考える必要があります。

早く歯を入れること自体が目的になると、設計が浅くなることがあります。

当日に歯が入るかどうか全体を先に整理したい方は、治療の考え方をまとめた

All-on-4で仮歯が当日入る人・入らない人の違い

もあわせて読むと、今回のテーマが理解しやすくなります。


なぜ「噛めるけれど制限がある」のか

名古屋で一日で歯が入る治療を探している方は、「当日から食事できるのか」が気になるはずです。

ここで大切なのは、当日仮歯は最終的な歯ではなく、治癒の期間を安全に越えるための固定式の仮の補綴物だという理解です。補綴とは、失った歯を機能と形の両面から回復する考え方です。

All-on-4では、少ない本数のインプラントで全体を支えます。

そのため当日仮歯は、単に入ればよいのではなく、力のかかり方をコントロールできる形で入っている必要があります。

噛める範囲に差が出る理由は、主に次の4つです。

  • 初期固定

    埋入した直後にインプラントがどれだけ安定しているかです。ここが弱いと、当日仮歯が入っても噛み方はかなり制限されます。
  • 骨の条件

    骨の量や硬さで、同じ名古屋のAll-on-4でも設計は変わります。上顎は下顎より慎重な判断になりやすい傾向があります。
  • 咬合設計

    咬合とは、上下の歯がどこでどう当たるかという設計です。ここが粗いと、仮歯やインプラントに無理がかかります。
  • 仮歯の材質と形

    仮歯の強度、厚み、連結の仕方で「どこまで使えるか」は変わります。

実際には、豆腐、卵料理、魚、やわらかいご飯、煮物のような食事は現実的でも、フランスパン、せんべい、ナッツ、硬い肉は初期には向かないことが多いです。

ここを曖昧にすると、「名古屋で即日インプラントをしたのに思ったより噛めない」という不満につながります。

「当日仮歯でどこまでできるか」をもう少し広く整理したい方は、

仮歯当日に何がどこまでできるのか

を先に見ると、噛む以外の生活面も含めて把握しやすくなります。

「固定式なら何でも噛める」と考えない方がよい理由

名古屋でAll-on-4の当日仮歯を調べていると、固定式だから総入れ歯よりすぐ強く噛めると受け取ってしまう方がいます。

ただ、当日仮歯の時期は、見た目と日常生活を早く立て直すことには向いていても、咬む力を自由に使ってよい時期とは限りません。

誤解が起きやすいのは、次のような場面です。

  • 「当日に歯が入る」と聞いて、当日から普通の食事まで戻れると思っている
  • 固定式なら、硬い物も前歯で噛み切れると考えている
  • 見た目が整えば、中の安定も十分だと思ってしまう
  • 仮歯が入ること自体を優先し、治療条件の確認が後回しになる

実際には、名古屋で当日歯が入る治療であっても、初期の時期は次のような制限が入ることがあります。

  • 硬い物を避ける
  • 前歯でちぎらない
  • 片側だけで噛まない
  • 食いしばりが強い方は使い方をより慎重にする

つまり、当日仮歯は「しっかり生活するための歯」ではあっても、「何でも自由に使う歯」とは分けて考えた方が安全です。

名古屋で一日で歯が入ることを重視する方ほど、この違いを先に理解しておくと判断がぶれにくくなります。

「当日入るかどうか」の条件から先に整理したい方は、

All-on-4で仮歯が当日入る人・入らない人の違い

も参考になります。

当日仮歯で“どこまで噛ませるか”は、埋入本数ではなく設計で決まる

当日仮歯でどこまで噛めるかを考えるとき、臨床では「4本入っているから大丈夫」という見方はしません。

見ているのは、どんな補綴設計なら、治癒の期間を無理なく越えられるかです。

診断の段階で実際に確認しているのは、次のようなポイントです。

  • インプラントの初期固定が十分か
  • 上下の顎の位置が安定しているか
  • 噛んだときに力がどこへ集まりやすいか
  • 仮歯の長さ、厚み、強度をどこまで確保できるか
  • 最終補綴へどうつなぐか

米国補綴のトレーニングで強く感じるのは、仮歯は一時的なものでも、考え方は最終補綴と同じであるべきという点です。

見た目だけ整った仮歯より、長期安定につながる仮歯の方が、結果として患者さんの負担は少なくなります。

日常診療でも、経過が安定しやすいのは、当日に入れることを急ぎすぎず、最終的な噛み合わせから逆算して仮歯を設計したケースです。

逆に、再治療の相談では、当日仮歯そのものではなく、仮歯の時期の力の管理が曖昧だったことが問題になっていることがあります。

名古屋、栄、伏見、愛知県中区でAll-on-4を比較する方ほど、

「当日に入るか」だけでなく、「どう設計して、どこまで噛ませる前提なのか」

を聞いてみると、その治療の考え方が見えやすくなります。

治療全体の比較で理解を深めたい方は、

名古屋 即日歯が入る?All-on-4との違い

もあわせて読むと、判断の軸が整理しやすくなります。

All-on-4の当日仮歯を考えるなら「入るか」より「どう使えるか」で整理する

名古屋でAll-on-4の当日仮歯を検討する方にとって、気になるのは「その日に歯が入るか」だけではないはずです。

本当に整理したいのは、入ったその歯で、生活の中でどこまで使えるのかという点です。

今回の内容を簡単にまとめると、次のようになります。

  • 当日仮歯は、見た目だけでなく日常生活を早く立て直すための固定式の歯として使うもの
  • ただし、当日から何でも自由に噛める状態を意味するわけではない
  • 噛める範囲は、骨の条件、初期固定、咬合設計、仮歯の強度で変わる
  • 長く安定しやすいのは、当日に入れることだけでなく、その後の使い方まで含めて設計されているケース

つまり、名古屋で当日に歯が入る治療を考えるときは、

「当日入るか」

「どこまで噛めるか」

「その条件は何か」

を分けて確認する方が、納得しやすい判断につながります。

とくに、栄や伏見、愛知県中区で治療先を比較する場面では、

“固定式ですぐ噛めます”という説明だけでなく、どの程度の食事を想定しているのかまで聞けるかどうかで、理解の深さが変わります。

よくあるご質問(Q&A)

Q1. 名古屋でAll-on-4の当日仮歯が入れば、その日から普通の食事はできますか。

A. やわらかい食事から始めることが多く、硬い物まで最初から想定するケースは多くありません。

Q2. 固定式なら、総入れ歯よりすぐ強く噛めますか。

A. 安定しやすい利点はありますが、当日仮歯の時期は使い方に制限が入ることがあります。

Q3. 当日仮歯が入るかどうかは、何で決まりますか。

A. 骨の状態、初期固定、全身状態、噛み合わせ、設計上の安全性などを総合して判断します。

Q4. 前歯で噛み切れるようになるのはいつ頃ですか。

A. 一律には言えません。治癒の経過や最終補綴への移行状況によって変わります。

Q5. 名古屋で一日で歯が入る治療を選ぶとき、何を確認すべきですか。

A. 当日仮歯の有無だけでなく、どこまで噛んでよいか、制限期間、最終補綴までの流れを確認すると整理しやすくなります。

当日仮歯が入る条件そのものを先に整理したい方は、

All-on-4で仮歯が当日入る人・入らない人の違い

も参考になります。

また、この記事が属するテーマ全体を順に整理したい方は、

名古屋で当日に歯が入る治療とは|All-on-4の考え方

もあわせて読むと、当日仮歯の位置づけがつかみやすくなります。

治療全体の考え方まで広げて整理したい方は、

名古屋でオールオン治療を検討されている方へ

もあわせて読むと、All-on-4だけでなく、固定式治療全体の判断軸がつかみやすくなります。


監修者情報

EDEN DENTAL OFFICE (エデン デンタル オフィス)

院長 村井亮介

名古屋中区の伏見駅から徒歩2分の「エデンデンタルオフィス」では、米国補綴専門医の資格を持つ院長が、10年、20年先を見据えた精密な治療を提供します。歯科医院特有の緊張感を和らげるため、家族のように寄り添う丁寧な対話を重視。患者様の背景や「どうなりたいか」という想いを深く汲み取り、できる限りの最高の治療クオリティーを常に心掛けております。

経歴

  • 愛知学院大学歯学部歯学科卒業
  • 大手歯科医療法人勤務
  • インディアナ大学歯学部補綴科卒業

資格

  • 米国補綴専門医

所属学会

  • 日本補綴歯科学会
  • ACP american academy of prosthodontics member
  • ITI international team
    for implntology 会員
  • AO academy of
    osseointegration 会員

CONSULTATION 無料相談・セカンドオピニオン

インプラントをはじめ、審美補綴や義歯などの外科的治療に関するご相談を承っております。その他の治療内容についてもお気軽にお問い合わせ下さい。